RevMAb (REV) 社では、様々な標的タンパク質や抗原を検出するための免疫組織染色(IHC)用抗体をご用意しております。REV社の抗体は、強いシグナルと低いシグナル/ノイズ比を特徴としています。REV社は革命的な技術により、高品質の組換えウサギ抗体を提供しています。
記事ID : 42863
RevMAb Biosciences社 免疫組織染色 (IHC) 用抗体
商品ラインアップ
| ・CK-5/CK-6 | ・Musashi 2 | ・SATB2 | ・Cytokeratin 10 | ・CD21 |
| ・TTF1 | ・CK-19 | ・CD8a | ・CD71 | ・p63 |
| ・H.Pylori | ・Cytokeratin-14 | ・p16INK4a | ・CD274 | ・p53 |
| ・C-term | ・Annexin A1 | ・Sox2 | ・CD25 | ・CD23 |
| ・HER2 | ・CD73 | ・Cytokeratin 5 | ・CD117/c-Kit | ・CD31 |
| ・c-Fos | ・Cyclin D1 | ・Thyroid Peroxidase | ・Beta-Catenin 1 | ・CD38 |
| ・Calretinin | ・CD278 |
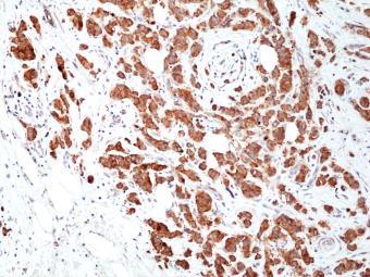
CK-5/CK-6 抗体
Musashi 2 抗体
![]() |
品名 | Anti-Musashi 2(MSl2) Rabbit Monoclonal Antibody [RM422] |
|---|---|---|
| 詳細 | Rabbit monoclonal to Musashi 2(MSl2) | |
| 品番 | 31-1309-00 | |
| 交差性 | Human, Mouse, Rat | |
| 適用 |
|
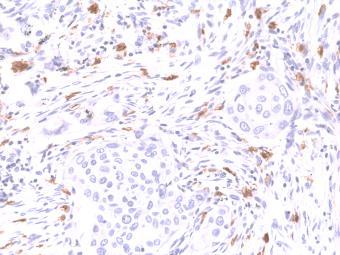
SATB2 抗体
![]() |
品名 | Anti-SATB2 Rabbit Monoclonal Antibody [RM365] |
|---|---|---|
| 詳細 | Rabbit monoclonal to SATB2 | |
| 品番 | 31-1251-00 | |
| 交差性 | Human | |
| 適用 |
|
CK-10 抗体
![]() |
品名 | Anti-Cytokeratin 10 (CK-10) Rabbit Monoclonal Antibody [RM386] |
|---|---|---|
| 詳細 | Rabbit monoclonal to Cytokeratin 10 (CK-10) | |
| 品番 | 31-1272-00 | |
| 交差性 | Human | |
| 適用 |
|
CD21 抗体
![]() |
品名 | Anti-CD21 Rabbit Monoclonal Antibody [RM372] |
|---|---|---|
| 詳細 | Rabbit monoclonal to CD21 | |
| 品番 | 31-1258-00 | |
| 交差性 | Human | |
| 適用 |
|
TTF1 抗体
![]() |
品名 | Anti-TTF1 (Thyroid transcription factor 1) Rabbit Monoclonal Antibody [RM373] |
|---|---|---|
| 詳細 | Rabbit monoclonal to TTF1 (Thyroid transcription factor 1) | |
| 品番 | 31-1259-00 | |
| 交差性 | Human | |
| 適用 |
|
CK-19 抗体
![]() |
品名 | Anti-Cytokeratin 19 (CK-19) Rabbit Monoclonal Antibody [RM364] |
|---|---|---|
| 詳細 | Rabbit monoclonal to Cytokeratin 19 | |
| 品番 | 31-1249-00 | |
| 交差性 | Human | |
| 適用 |
|
CD8a 抗体
![]() |
品名 | Anti-CD8a Rabbit Monoclonal Antibody [RM397] |
|---|---|---|
| 詳細 | Rabbit monoclonal to CD8a | |
| 品番 | 31-1283-00 | |
| 交差性 | Human | |
| 適用 |
|
CD71 抗体
![]() |
品名 | Anti-CD71 rabbit monoclonal antibody [RM384] |
|---|---|---|
| 詳細 | Rabbit monoclonal to CD71 | |
| 品番 | 31-1270-00 | |
| 交差性 | Human | |
| 適用 |
|
p63 抗体
![]() |
品名 | Anti-p63 (Tumor protein 63) Rabbit Monoclonal Antibody [RM383] |
|---|---|---|
| 詳細 | Rabbit monoclonal to p63 (Tumor protein 63) | |
| 品番 | 31-1269-00 | |
| 交差性 | Human | |
| 適用 |
|
H.Pylori 抗体
![]() |
品名 | Anti-Helicobacter Pylori (H.Pylori) Rabbit Monoclonal Antibody [RM429] |
|---|---|---|
| 詳細 | Rabbit monoclonal to neutrophil-activating protein of Helicobacter pylori | |
| 品番 | 31-1317-00 | |
| 交差性 | H.Pylori | |
| 適用 |
|
Cytokeratin-14 抗体
![]() |
品名 | Anti-CK-14 (Cytokeratin-14) Rabbit Monoclonal Antibody [RM328] |
|---|---|---|
| 詳細 | Rabbit monoclonal to CK-14 (Cytokeratin-14) | |
| 品番 | 31-1215-00 | |
| 交差性 | Human (Mouse or Rat) | |
| 適用 |
|
p16INK4a 抗体
![]() |
品名 | Anti-p16INK4a Rabbit Monoclonal Antibody [RM409] |
|---|---|---|
| 詳細 | Rabbit monoclonal to p16INK4a (CDKN2A) | |
| 品番 | 31-1295-00 | |
| 交差性 | Human | |
| 適用 |
|
CD274 抗体
![]() | 品名 | Anti-PD-L1 (CD274) (B7-H1) Rabbit Monoclonal Antibody [RM320] |
|---|---|---|
| 詳細 | Rabbit monoclonal to PD-L1 (CD274) (B7-H1) | |
| 品番 | 31-1205-00 | |
| 交差性 | Human | |
| 適用 |
|
p53 抗体
![]() |
品名 | Anti-p53 Rabbit Monoclonal Antibody [RM387] |
|---|---|---|
| 詳細 | Rabbit monoclonal to p53 | |
| 品番 | 31-1273-00 | |
| 交差性 | Human | |
| 適用 |
|
C-term 抗体
![]() |
品名 | Anti-CD34 (C-term) Rabbit Monoclonal Antibody [RM300] |
|---|---|---|
| 詳細 | Rabbit monoclonal to CD34 (C-term) | |
| 品番 | 31-1185-00 | |
| 交差性 | Human, Mouse, Rat | |
| 適用 |
|
Annexin A1 抗体
![]() |
品名 | Anti-Annexin A1 Rabbit Monoclonal Antibody [RM424] |
|---|---|---|
| 詳細 | Rabbit monoclonal to Annexin A1 | |
| 品番 | 31-1311-00 | |
| 交差性 | Human | |
| 適用 |
|
Sox2 抗体
![]() |
品名 | Anti-Sox2 Rabbit Monoclonal Antibody [RM427] |
|---|---|---|
| 詳細 | Rabbit monoclonal to Sox2 | |
| 品番 | 31-1314-00 | |
| 交差性 | Human | |
| 適用 |
|
CD25 抗体
![]() |
品名 | Anti-CD25 (IL2Rα) Rabbit Monoclonal Antibody [RM418] |
|---|---|---|
| 詳細 | Rabbit monoclonal to CD25 (IL2Rα) | |
| 品番 | 31-1304-00 | |
| 交差性 | Human | |
| 適用 |
|
CD23 抗体
![]() |
品名 | Anti-CD23 Rabbit Monoclonal Antibody [RM406] |
|---|---|---|
| 詳細 | Rabbit monoclonal to CD23 | |
| 品番 | 31-1292-00 | |
| 交差性 | Human | |
| 適用 |
|
HER2 抗体
![]() |
品名 | Anti-HER2 rabbit monoclonal antibody [RM228] |
|---|---|---|
| 詳細 | Rabbit monoclonal to HER2 | |
| 品番 | 31-1107-00 | |
| 交差性 | Human | |
| 適用 |
|
CD73 抗体
![]() |
品名 | Anti-CD73 Rabbit Monoclonal Antibody [RM431] |
|---|---|---|
| 詳細 | Rabbit monoclonal to human CD73 | |
| 品番 | 31-1319-00 | |
| 交差性 | Human | |
| 適用 |
|
Cytokeratin 5 抗体
![]() |
品名 | Anti-Cytokeratin 5 rabbit monoclonal antibody [RM226] |
|---|---|---|
| 詳細 | Rabbit monoclonal to CK5 | |
| 品番 | 31-1105-00 | |
| 交差性 | Human | |
| 適用 |
|
CD117/c-Kit 抗体
![]() |
品名 | Anti-CD117/c-Kit Rabbit Monoclonal Antibody [RM359] |
|---|---|---|
| 詳細 | Rabbit monoclonal to CD117/c-Kit | |
| 品番 | 31-1245-00 | |
| 交差性 | Human | |
| 適用 |
|
CD31 抗体
![]() |
品名 | Anti-CD31 (PECAM-1) rabbit monoclonal antibody [RM247] |
|---|---|---|
| 詳細 | Rabbit monoclonal to CD31 (PECAM-1) | |
| 品番 | 31-1128-00 | |
| 交差性 | Human | |
| 適用 |
|
c-Fos 抗体
![]() |
品名 | Anti-c-Fos Rabbit Monoclonal Antibody [RM374] |
|---|---|---|
| 詳細 | Rabbit monoclonal to c-Fos | |
| 品番 | 31-1260-00 | |
| 交差性 | Human | |
| 適用 |
|
Cyclin D1 抗体
![]() |
品名 | Anti-Cyclin D1 (CCND1) rabbit monoclonal antibody [RM241] |
|---|---|---|
| 詳細 | Rabbit monoclonal to Cyclin D1 | |
| 品番 | 31-1122-00 | |
| 交差性 | Human (Bovine, Mouse, Rat) | |
| 適用 |
|
Thyroid Peroxidase 抗体
![]() |
品名 | Anti-TPO (Thyroid Peroxidase) Rabbit Monoclonal Antibody [RM368] |
|---|---|---|
| 詳細 | Rabbit monoclonal to TPO (Thyroid Peroxidase) | |
| 品番 | 31-1254-00 | |
| 交差性 | Human | |
| 適用 |
|
Beta-Catenin 1 抗体
![]() |
品名 | Anti-Beta-Catenin 1 (CTNNB1) Rabbit Monoclonal Antibody [RM276] |
|---|---|---|
| 詳細 | Rabbit monoclonal to Beta-Catenin 1 (CTNNB1) | |
| 品番 | 31-1157-00 | |
| 交差性 | Human (Mouse, Rat) | |
| 適用 |
|
CD38 抗体
![]() |
品名 | Anti-CD38 Rabbit Monoclonal Antibody [RM388] |
|---|---|---|
| 詳細 | Rabbit monoclonal to CD38 (cyclic ADP-ribose hydrolase 1) | |
| 品番 | 31-1274-00 | |
| 交差性 | Human | |
| 適用 |
|
Calretinin 抗体
![]() |
品名 | Anti-Calretinin (CALB2) Rabbit Monoclonal Antibody [RM324] |
|---|---|---|
| 詳細 | Rabbit monoclonal to Calretinin (CALB2) | |
| 品番 | 31-1211-00 | |
| 交差性 | Human (Mouse, Rat) | |
| 適用 |
|
CD278 抗体
![]() |
品名 | Anti-CD278 Rabbit Monoclonal Antibody [RM417] |
|---|---|---|
| 詳細 | Rabbit monoclonal to inducible T-cell costimulatory CD278 | |
| 品番 | 31-1303-00 | |
| 交差性 | Human | |
| 適用 |
|
RevMAb Biosciences社 免疫組織染色 (IHC) 用抗体
| 品名 | メーカー | 品番 | 包装 | 希望販売価格 |
|---|---|---|---|---|
Anti CK-5/CK-6 (Cytokeratin 5/ Cytokeratin 6), Recombinant Antibody, Human (Rabbit Mono) Unlabeled, RM341![]() |
REV | 31-1227-00 | 100 UL |
¥91,000 |
Anti Musashi 2(MSl2), Human (Rabbit Mono) Unlabeled, RM422![]() |
REV | 31-1309-00 | 100 UL |
¥91,000 |
Anti SATB2, Recombinant Antibody, Human (Rabbit Mono) Unlabeled, RM365![]() |
REV | 31-1251-00 | 100 UL |
¥91,000 |
Anti Cytokeratin 10 (CK-10), Recombinant Antibody, Human (Rabbit Mono) Unlabeled, RM386![]() |
REV | 31-1272-00 | 100 UL |
¥91,000 |
Anti CD21, Recombinant Antibody, Human (Rabbit Mono) Unlabeled, RM372![]() |
REV | 31-1258-00 | 100 UL |
¥91,000 |
Anti TTF1 (Thyroid transcription factor 1), Recombinant Antibody, Human (Rabbit Mono) Unlabeled, RM373![]() |
REV | 31-1259-00 | 100 UL |
¥91,000 |
Anti Cytokeratin 19 (CK-19), Recombinant Antibody, Human (Rabbit Mono) Unlabeled, RM364![]() |
REV | 31-1249-00 | 100 UL |
¥91,000 |
Anti CD8a, Recombinant Antibody, Human (Rabbit Mono) Unlabeled, RM397![]() |
REV | 31-1283-00 | 100 UL |
¥91,000 |
Anti CD71, Recombinant Antibody, Human (Rabbit Mono) Unlabeled, RM384![]() |
REV | 31-1270-00 | 100 UL |
¥91,000 |
Anti p63 (Tumor protein 63), Recombinant Antibody, Human (Rabbit Mono) Unlabeled, RM383![]() |
REV | 31-1269-00 | 100 UL |
¥91,000 |
Anti Helicobacter Pylori, Helicobacter pylori (Rabbit Mono) Unlabeled, RM429![]() |
REV | 31-1317-00 | 100 UL |
¥91,000 |
Anti CK-14 (Cytokeratin-14), Recombinant Antibody, Human (Rabbit Mono) Unlabeled, RM328![]() |
REV | 31-1215-00 | 100 UL |
¥91,000 |
Anti-p16INK4a, recombinant antibody, Human (Rabbit Mono) Unlabeled, RM409![]() |
REV | 31-1295-00 | 100 UL |
¥91,000 |
Anti PD-L1 (CD274) (B7-H1), Recombinant Antibody, Human (Rabbit Mono) Unlabeled, RM320![]() |
REV | 31-1205-00 | 100 UL |
¥99,000 |
Anti p53, Recombinant Antibody, Human (Rabbit Mono) Unlabeled, RM387![]() |
REV | 31-1273-00 | 100 UL |
¥91,000 |
Anti CD34, Recombinant Antibody, Human (Rabbit Mono) Unlabeled, RM300![]() |
REV | 31-1185-00 | 100 UL |
¥91,000 |
Anti Annexin A1, Human (Rabbit Mono) Unlabeled, RM424![]() |
REV | 31-1311-00 | 100 UL |
¥91,000 |
Anti Sox2, Human (Rabbit Mono) Unlabeled, RM427![]() |
REV | 31-1314-00 | 100 UL |
¥91,000 |
Anti CD25 (IL2Rα), Human (Rabbit Mono) Unlabeled, RM418![]() |
REV | 31-1304-00 | 100 UL |
¥91,000 |
Anti CD23, Human (Rabbit Mono) Unlabeled, RM406![]() |
REV | 31-1292-00 | 100 UL |
¥91,000 |
Anti HER2, Recombinant Antibody, Human (Rabbit Mono) Unlabeled, RM228![]() |
REV | 31-1107-00 | 0.1 ML |
¥91,000 |
Anti CD73, Recombinant Antibody, Human (Rabbit Mono) Unlabeled, RM431![]() |
REV | 31-1319-00 | 100 UL |
¥91,000 |
Anti Cytokeratin 5, Recombinant Antibody, Human (Rabbit Mono) Unlabeled, RM226![]() |
REV | 31-1105-00 | 0.1 ML |
¥91,000 |
Anti CD117/c-Kit, Recombinant Antibody, Human (Rabbit Mono) Unlabeled, RM359![]() |
REV | 31-1245-00 | 100 UL |
¥91,000 |
Anti CD31 (PECAM-1), Recombinant Antibody, Human (Rabbit Mono) Unlabeled, RM247![]() |
REV | 31-1128-00 | 100 UL |
¥91,000 |
Anti c-Fos, Recombinant Antibody, Human (Rabbit Mono) Unlabeled, RM374![]() |
REV | 31-1260-00 | 100 UL |
¥91,000 |
Anti Cyclin D1 (CCND1), Recombinant Antibody, (Rabbit Mono) Unlabeled, RM241![]() |
REV | 31-1122-00 | 100 UL |
¥91,000 |
Anti TPO (Thyroid Peroxidase), Recombinant Antibody, Human (Rabbit Mono) Unlabeled, RM368![]() |
REV | 31-1254-00 | 100 UL |
¥91,000 |
Anti β-Catenin 1 (CTNNB1), Recombinant Antibody, Human (Rabbit Mono) Unlabeled, RM276![]() |
REV | 31-1157-00 | 100 UL |
¥91,000 |
Anti CD38, Recombinant Antibody, Human (Rabbit Mono) Unlabeled, RM388![]() |
REV | 31-1274-00 | 100 UL |
¥91,000 |
Anti Calretinin (CALB2), Recombinant Antibody, Human (Rabbit Mono) Unlabeled, RM324![]() |
REV | 31-1211-00 | 100 UL |
¥91,000 |
Anti CD278, Human (Rabbit Mono) Unlabeled, RM417![]() |
REV | 31-1303-00 | 100 UL |
¥91,000 |
【関連商品】
- 脳腫瘍マーカー検出抗体
RevMAb Biosciences社 脳腫瘍マーカー抗体 - がん免疫 (Immuno-Oncology) に関する抗体
RevMAb Biosciences社 がん免疫 (Immuno-Oncology) 抗体 - イムノグロブリンやヒストンを特異的に検出
RevMAb Biosciences社 ウサギモノクローナル抗体
商品は「研究用試薬」です。人や動物の医療用・臨床診断用・食品用としては使用しないように、十分ご注意ください。
※ 表示価格について






















このページを印刷する








































