品番:ENZ30931 / ENZC34931
クローン:HHF35
抗原:Muscle Actin (actin-a and actin-g)
サブタイプ:Mouse IgG1
適用:IHC, IB
交差種:human, monkey, rabbit
免疫原の調製:ヒト心筋 [2%SDS で抽出されたタンパク質]
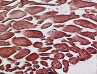
染色図

参考文献
1. Charbord, P., Gown, A. M., Keating, A. and Singer, J. W. (1985) CGA-7 and HHF, two monoclonal antibodies that recognize muscle actin and react with adherent cells in human long-term bone marrow cultures. Blood 66:1138-1142.
2. Gown, A. M., Tsukada, T. and Ross, R. (1986) Human atherosclerosis. II. Immunocytochemical analysis of the cellular composition of human atherosclerotic lesions. Am. J. Pathol. 125:191-207.
3. Schmidt, R. A. Cone, R., Haas, J. E. and Gown, A. M. (1987) Diagnosis of Rhabdomyosarcomas using HHF35, an anti-muscle actin monoclonal antibody. Lab. Invest. 56:70A.
4. Schmidt, R. A. Cone, R., Haas, J. E. and Gown, A. M. (1988) Diagnosis of Rhabdomyosarcomas with HHF35, a monoclonal antibody directed against muscle actins. Am. J. Path. 131:19-28.
5. Tsukada, T., et al. (1986) HHF35, a muscle actin-specific monoclonal antibody. I. Immunocytochemical and biochemical characterization. Am. J. Path. 126:51-60.
6. Tsukada, T., et al. (1987) HHF35, a muscle actin-specific monoclonal antibody. II. Reactivity in normal, reactive and neoplastic human tissues. Am. J. Path. 127:389-402.