本商品は、アンドロゲン受容体のスプライシングバリアント7(Androgen Receptor Splice Variant-7、AR-V7)特異的なモノクローナル抗体(クローン番号:RM7)です。野生型のアンドロゲン受容体には非交差です。
AR-V7特異的なモノクローナル抗体 アンドロゲン受容体 スプライスバリアント7 抗体
使用例
ウェスタンブロット

図1. 抗AR-V7抗体(RM7)で22RV1、DU145、PC-3の細胞ライセートを解析
22RV1細胞でのみ内因性のAR-V7の発現が確認された。
免疫染色(細胞)

図2. 抗AR-V7抗体(RM7)で22RV1、PC-3細胞を染色
AR-V7:赤色、アクチンフィラメント:緑色(蛍光ファロイジン)
免疫染色(組織切片)

図3. 22RV1、DU145のホルマリン固定パラフィン包埋(FFPE)切片を染色

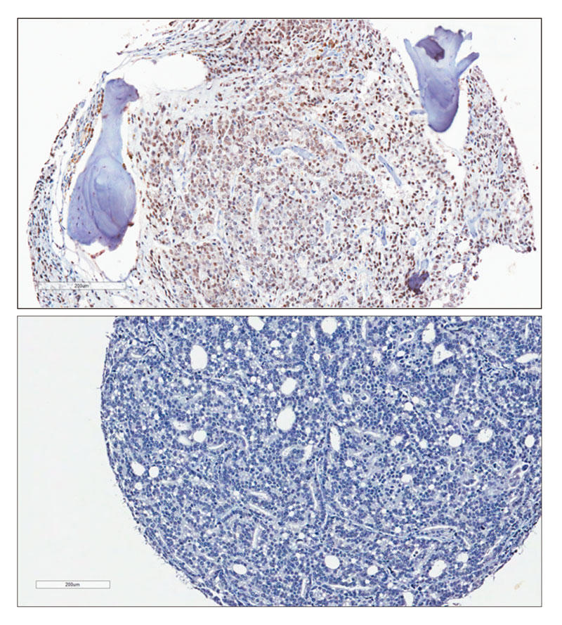
図4. 骨転移した前立腺がんのFFPEサンプルを染色
臨床的にAR-V7ポジティブ(上図)、AR-V7ネガティブ(下図)な染色結果となった。
(画像提供:Dr. Stephen Plymate, University of Washington, Washington, US)
アンドロゲン受容体 スプライスバリアント7 抗体
| 品名 | メーカー | 品番 | 包装 | 希望販売価格 |
|---|---|---|---|---|
Anti AR (ARv7 Splice Variant), Recombinant Antibody, (Rabbit Mono) Unlabeled, RM7![]() |
REV | 31-1109-00 | 100 UL |
¥138,000 |
商品は「研究用試薬」です。人や動物の医療用・臨床診断用・食品用としては使用しないように、十分ご注意ください。
※ 表示価格について






















このページを印刷する







