DB Biotech社では、独自のin vitroクローニング技術を応用した、免疫組織染色用の乳がん研究に関連する抗体をご提供しております。 中でも、乳がん研究関連抗体については、乳がんのバイオマーカーとして知られているタンパク質に対する幅広い抗体を取り揃えており、基礎研究にもご活用いただけます。
乳がんにおける免疫組織化学検査の役割
一般的に、乳がんの病理診断や研究において、免疫組織化学検査(Immunohistochemistry, IHC) は不可欠な要素とされています。免疫組織化学検査によって決定されたサブタイプ分類は、治療方針の決定に役立つ予測および予後バイオマーカーなどの役割を果たしていることが知られています。
乳がんにおけるバイオマーカー
前述の通り、免疫組織化学検査は乳がんの病理診断や研究において、幅広い役割を担います。下記に乳がん研究で用いられているバイオマーカーの一例を示します。
(1) ホルモン受容体
エストロゲン受容体 (Estrogen Receptor:ER)
プロゲステロン受容体 (Progesterone Receptor:PR)
エストロゲン受容体(estrogen receptor: ER)は、浸潤性乳がん症例の約70%で発現することが報告されており、ホルモン療法に対する反応を予測する強力な因子であるとともに良好な予後因子としても知られています。
プロゲステロン受容体(progesterone receptor: PR)は浸潤性乳がん症例の約60%で発現することが報告されており、特に、エストロゲン受容体陽性腫瘍に対しての内分泌療法後の予測因子として知られています。
(2) HER2(ヒト上皮成長因子受容体2)
HER2は、細胞の増殖、発達、および生存を促進する膜受容体チロシンキナーゼです。
HER2陽性は全ての乳がんの約20%に見られ、ER陽性または陰性のいずれの場合でも見られることがあります。HER2タンパク質の過剰発現を伴うがんは、通常、遺伝子増幅に起因するため、IHCによるHER2タンパク質発現レベルの評価とin situ ハイブリダイゼーション(ISH)によるHER2遺伝子状態の評価を組み合わせて評価されます。
(3) Ki-67
Ki-67は核タンパク質であり、細胞増殖を決定するためのバイオマーカーです。
初期段階のがんを予測する場合にKi-67陽性腫瘍細胞の割合を見る場合があります。
使用例
DB Biotech社では、特異性、親和性、結合性に優れた、乳がん関連抗体を取り揃えております。
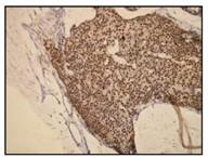
Anti-ER (Estrogen receptor)(品番:DB 053)
図1. Anti-ER (Estrogen receptor)(品番:DB 053)染色画像
DB Biotech社のプロトコルに従って、Anti-ER (Estrogen receptor)(品番:DB 053)で染色した。
エストロゲン受容体をびまん的かつ強く発現する粘液性乳腺がん
ホルマリン固定パラフィン包埋ヒト組織 (4 µm切片)
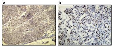
Anti-PR (Progesterone Receptor)(品番:DB 109)
図2. Anti-PR (Progesterone Receptor)(品番:DB 109)染色画像
DB Biotech社のプロトコルに従って、Anti-PR (Progesterone Receptor)(品番:DB 109)で染色した。
(A)核内プロゲステロン受容体(PR)をびまん的に発現する髄膜内皮性髄膜腫
(B)プロゲステロン受容体(PR)を発現する乳がん
- Cimino-Mathews, A. Novel uses of immunohistochemistry in breast pathology: interpretation and pitfalls. Mod Pathol. 2021,34(Suppl 1),62-77.
- Hacking SM, Yakirevich E, Wang Y. From Immunohistochemistry to New Digital Ecosystems: A State-of-the-Art Biomarker Review for Precision Breast Cancer Medicine. Cancers (Basel). 2022,14,3469.
- Colomer R, González-Farré B, Ballesteros AI, Peg V, Bermejo B, Pérez-Mies B, de la Cruz S, Rojo F, Pernas S, Palacios J. Biomarkers in breast cancer 2024: an updated consensus statement by the Spanish Society of Medical Oncology and the Spanish Society of Pathology. Clin Transl Oncol. 2024,26(12),2935-2951.
- Orrantia-Borunda E, Anchondo-Nuñez P, Acuña-Aguilar LE, et al. Subtypes of Breast Cancer. In: Mayrovitz HN, editor. Breast Cancer [Internet]. Brisbane (AU): Exon Publications. 2022, Chapter 3.
| 品名 | メーカー | 品番 | 包装 | 希望販売価格 |
|---|---|---|---|---|
Anti ER (Estrogen receptor), Human (Rabbit) Unlabeled, S21-V![]() |
DBB | DB 053-0.1 | 100 UL |
¥78,000 |
Anti ER (Estrogen receptor), Human (Rabbit) Unlabeled, S21-V![]() |
DBB | DB 053-0.2 | 200 UL |
¥118,000 |
Anti ER (Estrogen receptor), Human (Rabbit) Unlabeled, S21-V![]() |
DBB | DB 053-0.5 | 500 UL |
¥156,000 |
Anti ER (Estrogen receptor), Human (Rabbit) Unlabeled, S21-V![]() |
DBB | DB 053-1 | 1 ML |
¥261,000 |
Anti ER (Estrogen receptor), Human (Rabbit) Unlabeled, S21-V![]() |
DBB | DB 053 RTU-15 | 15 ML |
¥143,000 |
Anti ER (Estrogen receptor), Human (Rabbit) Unlabeled, S21-V![]() |
DBB | DB 053 RTU-7 | 7 ML |
¥87,000 |
Anti C-erbB-2 (Her-2/neu), Human (Rabbit) Unlabeled, A24-V![]() |
DBB | DB 094-0.1 | 100 UL |
¥68,000 |
Anti C-erbB-2 (Her-2/neu), Human (Rabbit) Unlabeled, A24-V![]() |
DBB | DB 094-0.2 | 200 UL |
¥101,000 |
Anti C-erbB-2 (Her-2/neu), Human (Rabbit) Unlabeled, A24-V![]() |
DBB | DB 094-0.5 | 500 UL |
¥134,000 |
Anti C-erbB-2 (Her-2/neu), Human (Rabbit) Unlabeled, A24-V![]() |
DBB | DB 094-1 | 1 ML |
¥224,000 |
Anti C-erbB-2 (Her-2/neu), Human (Rabbit) Unlabeled, A24-V![]() |
DBB | DB 094 RTU-15 | 15 ML |
¥123,000 |
Anti C-erbB-2 (Her-2/neu), Human (Rabbit) Unlabeled, A24-V![]() |
DBB | DB 094 RTU-7 | 7 ML |
¥75,000 |
Anti PR (Progesterone Receptor), Human (Rabbit) , A21-W![]() |
DBB | DB 109-0.1 | 100 UL |
¥83,000 |
Anti PR (Progesterone Receptor), Human (Rabbit) , A21-W![]() |
DBB | DB 109-0.2 | 200 UL |
¥125,000 |
Anti PR (Progesterone Receptor), Human (Rabbit) , A21-W![]() |
DBB | DB 109-0.5 | 500 UL |
¥166,000 |
Anti PR (Progesterone Receptor), Human (Rabbit) , A21-W![]() |
DBB | DB 109-1 | 1 ML |
¥276,000 |
Anti PR (Progesterone Receptor), Human (Rabbit) , A21-W![]() |
DBB | DB 109 RTU-15 | 15 ML |
¥151,000 |
Anti PR (Progesterone Receptor), Human (Rabbit) , A21-W![]() |
DBB | DB 109 RTU-7 | 7 ML |
¥92,000 |
Anti Ki-67, Human (Rabbit) , M17-I![]() |
DBB | DB 318-0.1 | 100 UL |
¥70,000 |
Anti Ki-67, Human (Rabbit) , M17-I![]() |
DBB | DB 318-0.2 | 200 UL |
¥106,000 |
Anti Ki-67, Human (Rabbit) , M17-I![]() |
DBB | DB 318-0.5 | 500 UL |
¥140,000 |
Anti Ki-67, Human (Rabbit) , M17-I![]() |
DBB | DB 318-1 | 1 ML |
¥234,000 |
Anti Ki-67, Human (Rabbit) , M17-I![]() |
DBB | DB 318 RTU-15 | 15 ML |
¥128,000 |
Anti Ki-67, Human (Rabbit) , M17-I![]() |
DBB | DB 318 RTU-7 | 7 ML |
¥78,000 |
商品は「研究用試薬」です。人や動物の医療用・臨床診断用・食品用としては使用しないように、十分ご注意ください。
※ 表示価格について






















このページを印刷する













