CD3E を特異的に検出する「UltraMAB® 抗体」です。免疫組織染色(IHC)に最適です。
背景
CD3E / NM_000733
CD3E遺伝子にコードされたタンパク質はCD3- εポリペプチドで、CDS- γ、- Δ、- ζとともにT 細胞受容体α/β、γ/Δへテロ二量体とT 細胞受容体-CD3 複合体を形成する。この複合体は複数の細胞内シグナル伝達経路への抗原認識共役において重要や役割を果たす。ε、γ、Δポリペプチドをコードする遺伝子は第11 染色体上の同一クラスターに位置する。εポリペプチドはT 細胞発生に必須である。CD3E遺伝子の欠損により免疫不全を生ずる。また女性においてI 型糖尿病への易罹患性との関与が知られている[RefSeq Jul 2008]。
製品データ
![]() 図.1 9種の細胞株の可溶化液(35ug)をanti-CD3E モノクローナル抗体を使ってウェスタンブロット解析(Clone UMAB54) |
![]() 図.2 パラフィン包埋したヒト結腸組織をanti-UM500048 マウスモノクローナル抗体を使って免疫組織化学染色(UM500048) |
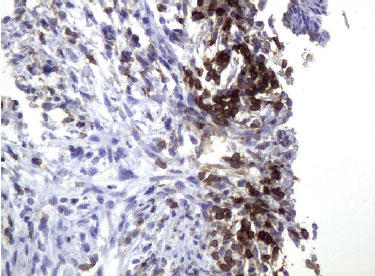
![]() 図.3 パラフィン包埋したヒト子宮内膜組織の腺がんをanti-UM500048 マウスモノクローナル抗体を使って免疫組織化学染色(UM500048) |
![]() 図.4 Jurkat 細胞をCD3E マウスモノクローナル抗体を使って免疫組織化学染色(UM500048、緑色)。アクチン線維はTRITC- ファロイジン(赤色)ラベルし、核はDAPI 染色(青色)した。 |
詳細情報
| 遺伝子名 | Homo sapiens CD3e molecule, epsilon (CD3-TCR complex) (CD3E) | ||
|---|---|---|---|
| 別名 | T3E; TCRE | ||
| 抗原 | Full length human recombinant protein of human CD3E(NP_000724) produced in HEK293T cell. | ||
| バッファー | PBS (PH 7.3) containing 1% BSA, 50% glycerol and 0.02% sodium azide. | ||
| クローン | UMAB54 | アイソタイプ | IgG2b |
| 交差種 | Human | 濃度 | 0.5〜1.0 mg/ml (Lot Dependent) |
| 精製 | Purified from mouse ascites fluids by affinity chromatography (Protein A or G Sepharose) | ||
| 適用 | WB, IHC, IF | 推奨希釈条件 | IHC 1:100, IF 1:100, |
CD3E / NM_000733 UltraMAB® 抗体
| 品名 | メーカー | 品番 | 包装 | 希望販売価格 |
|---|---|---|---|---|
Anti CD3E, Human (Mouse) , UMAB54![]() |
ORG | UM570048 | 30 UL [1.87mg/ml] |
¥75,000 |
Anti CD3E, Human (Mouse) , UMAB54![]() |
ORG | UM500048 | 100 UL [1.87mg/ml] |
¥204,000 |
商品は「研究用試薬」です。人や動物の医療用・臨床診断用・食品用としては使用しないように、十分ご注意ください。
※ 表示価格について






















このページを印刷する

















