CD44 を特異的に検出する「UltraMAB® 抗体」です。免疫組織染色(IHC)に最適です
免疫組織染色(IHC)に最適 CD44 / NM_000610 UltraMAB® 抗体
背景
CD44 / NM_000610
CD44遺伝子は、細胞-細胞相互作用や細胞接着および遊走に関与する細胞表面糖タンパク質をコードする。CD44タンパク質は ヒアルロン酸(HA)受容体であるが、オステオポンチン、コラーゲン、細胞外マトリックス分解酵素(MMPs)といった 他のリガンドとも相互作用する。また、リンパ球活性化、再循環およびホーミング、血球新生、腫瘍転位を含む種々の細胞機能に関与する。CD44遺伝子は複雑な選択的スプライシングを介して転写され、数々の異なる機能をもつアイソフォームが生ずる。しかし、いくつかのバリアントに関してはその完全長が同定されていない。CD44遺伝子では、構造的かつ機能的多様性が選択的スプライシングにより得られており、腫瘍転位への可能性も予想される[RefSeq Jul 2008]。
製品データ
![]() |
![]() |
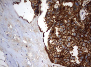
| 図.1 パラフィン包埋したヒト乳房組織の腺がんをanti-CD44 マウスモノクローナル抗体を使って免疫組織化学染色 左:UM500099 右:UM500098 |
|
![]() |
![]() |
| 図.2 パラフィン包埋したヒト結腸組織をanti-CD44 マウスモノクローナル抗体を使って免疫組織化学染色 左:UM500099 右:UM500098 |
|
![]() |
![]() |
| 図.3 パラフィン包埋したヒト肺組織をanti-CD44 マウスモノクローナル抗体を使って免疫組織化学染色 左:UM500099 右:UM500098 |
|
![]() |
![]() |
| 図.4 パラフィン包埋したヒト膵臓組織の細胞腫をanti-CD44 マウスモノクローナル抗体を使って免疫組織化学染色 左:UM500099 右:UM500098 |
|
![]() |
![]() |
| 図.5 パラフィン包埋したヒト甲状腺組織をanti-CD44 マウスモノクローナル抗体を使って免疫組織化学染色 左:UM500099 右:UM500098 |
|
![]() |
![]() |
| 図.6 パラフィン包埋したヒト前立腺組織の細胞腫をanti-CD44 マウスモノクローナル抗体を使って免疫組織化学染色 左:UM500099 右:UM500098 |
|
詳細情報
| 遺伝子名 | Homo sapiens CD44 molecule (Indian blood group) (CD44), transcript variant 1 | ||||||
|---|---|---|---|---|---|---|---|
| 別名 | CDW44; CSPG8; ECMR-III; HCELL; HUTCH-I; IN; LHR; MC56; MDU2; MDU3; MIC4; Pgp1 | ||||||
| 抗原 | Full length human recombinant protein of human CD44(NP_000601) produced in HEK293T cell. | ||||||
| バッファー | PBS(PH 7.3) containing 1% BSA, 50% glycerol and 0.02% sodium azide. | ||||||
| クローン | UMAB133 UMAB134 |
適用 | WB, IHC IHC |
アイソ タイプ |
IgG1 IgG1 |
推奨 希釈条件 |
WB 1:4000, IHC 1:100, IHC 1:500, |
| 交差種 | Human | 濃度 | 0.5~1.0 mg/ml (Lot Dependent) | ||||
| 精製 | Purified from mouse ascites fluids by affinity chromatography (Protein A or G Sepharose) | ||||||
CD44 / NM_000610 UltraMAB® 抗体
| 品名 | メーカー | 品番 | 包装 | 希望販売価格 |
|---|---|---|---|---|
Anti CD44, Human (Mouse) , UMAB133![]() |
ORG | UM570098 | 30 UL [1.00mg/ml] |
¥75,000 |
Anti CD44, Human (Mouse) , UMAB133![]() |
ORG | UM500098 | 100 UL [1.00mg/ml] |
¥204,000 |
Anti CD44, Human (Mouse) , UMAB134![]() |
ORG | UM570099 | 30 UL [1.00mg/ml] |
¥75,000 |
Anti CD44, Human (Mouse) , UMAB134![]() |
ORG | UM500099 | 100 UL [1.00mg/ml] |
¥204,000 |
商品は「研究用試薬」です。人や動物の医療用・臨床診断用・食品用としては使用しないように、十分ご注意ください。






















このページを印刷する



















