CD68 を特異的に検出する「UltraMAB® 抗体」です。免疫組織染色(IHC)に最適です。
背景
CD68 / NM_001251
CD68遺伝子はヒト単球および組織マクロファージにおいて項発現する110-kD の膜貫通型糖タンパク質をコードする。リソソーム/エンドソーム付随型膜糖タンパク質(LAMP)ファミリーに属する。CD68タンパク質は細胞表面に循環するより小さ い断片と共にリソソームやエンドソームに一次的に局在化する。重度にグリコシル化された細胞外ドメインをもつI 型膜内在性タンパク質であり、細胞や臓器特異的レクチンまたはセレクチンに結合する。さらに、CD68タンパク質はスカベンジャー受容体ファミリーでもある。スカベンジャー受容体は一般に細胞内残飯除去機能をもち、貪食を促進し、マクロファージの動員と活性化を仲介する。選択的スプライシングにより異なるアイソフォームをもつ複数の転写物が生ずる[RefSeq Jul 2008]
製品データ
![]() 図.1 パラフィン包埋したヒトリンパ節組織をanti-CD68 マウスモノクローナル抗体を使って免疫組織化学染色(UM800047) |
![]() 図.2 パラフィン包埋したヒトリンパ腫組織をanti-CD68 マウスモノクローナル抗体を使って免疫組織化学染色(UM800047) |
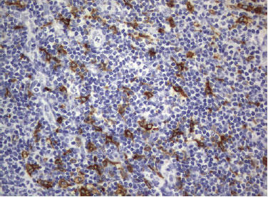
![]() 図.3 パラフィン包埋したヒト扁桃組織をanti-CD68 マウスモノクローナル抗体を使って免疫組織化学染色(UM800047) |
![]() 図.4 anti-CD68 モノクローナル抗体を使用したウェスタンブロット解析 左:COLO205 細胞溶解液(35ug)、中:A498 細胞溶解液(35ug)、右:MALME3M 細胞溶解液(35ug) |
詳細情報
| 遺伝子名 | Homo sapiens CD68 molecule (CD68), transcript variant 1 | ||
|---|---|---|---|
| 別名 | GP110; LAMP4; SCARD1 | ||
| 抗原 | Human recombinant protein fragment corresponding to amino acids 22-319 of human CD68 (NP_001242)produced in SF9 cell. | ||
| バッファー | PBS (PH 7.3) containing 1% BSA, 50% glycerol and 0.02% sodium azide. | ||
| クローン | UMAB150 | アイソタイプ | IgG1 |
| 交差種 | Human | 濃度 | 0.5〜1.0 mg/ml (Lot Dependent) |
| 精製 | Purified from mouse ascites fluids by affinity chromatography (Protein A or G Sepharose) | ||
| 適用 | WB, IHC, 10K-CHIP | 推奨希釈条件 | WB 1:2000, IHC 1:100〜200, |
CD68 / NM_001251 UltraMAB® 抗体
| 品名 | メーカー | 品番 | 包装 | 希望販売価格 |
|---|---|---|---|---|
Anti CD68, Human (Mouse) , UMAB150![]() |
ORG | UM870047 | 30 UL [1.00mg/ml] |
¥75,000 |
Anti CD68, Human (Mouse) , UMAB150![]() |
ORG | UM800047 | 100 UL [1.00mg/ml] |
¥204,000 |
商品は「研究用試薬」です。人や動物の医療用・臨床診断用・食品用としては使用しないように、十分ご注意ください。
※ 表示価格について






















このページを印刷する

















