CYP1A2 を特異的に検出する「UltraMAB® 抗体」です。免疫組織染色(IHC)に最適です。
背景
CYP1A2 / NM_000761
CYP1A2遺伝子は酵素のチトクロームP450 スーパーファミリーをコードする。チトクロームP450 タンパク質はものオキシゲナーゼであり薬物代謝やコレステロール、ステロイド、その他脂質の生合成に関与する数々の反応を触媒する。CYP1A2タンパク質は小胞体に局在化し、いくつかの多環芳香族炭化水素(PAHs)により発現誘導を受けるが、これにはタバコ煙も含まれる。本酵素の内在性基質は未知であるが、いくつかのPAHs を発がん性中間体へと代謝することが知られている。その他、本酵素の生体異物基質には、カフェイン、アフラトキシンB1、アセトアミノフェンがある。本遺伝子からの転写物は3'UTR 領域にある直列反復配列に隣接した4つのAlu 配列をもつ[RefSeq Jul 2008]。
製品データ
![]() 図.1 パラフィン包埋したヒト肝臓組織をanti-CYP1A2 マウスモノクローナル抗体を使って免疫組織化学染色(UM500073) |
![]() 図.2 パラフィン包埋したヒト肝臓組織の細胞腫をanti-CYP1A2 マウスモノクローナル抗体を使って免疫組織化学染色(UM500073) |
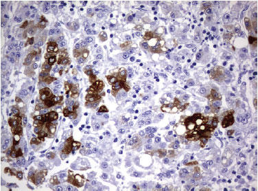
![]() 図.3 パラフィン包埋したヒト胚胎性肝臓組織をanti-CYP1A2 マウスモノクローナル抗体を使って免疫組織化学染色(UM500073) |
詳細情報
| 遺伝子名 | Homo sapiens cytochrome P450, family 1, subfamily A, polypeptide 2 (CYP1A2) | ||
|---|---|---|---|
| 別名 | CP12; P3-450; P450(PA) | ||
| 抗原 | Full length human recombinant protein of human CD19(NP_001761) produced in HEK293T cell. | ||
| バッファー | PBS (PH 7.3) containing 1% BSA, 50% glycerol and 0.02% sodium azide. | ||
| クローン | UMAB105 | アイソ タイプ |
IgG1 |
| 交差種 | Human | 濃度 | 0.5〜1.0 mg/ml (Lot Dependent) |
| 精製 | Purified from mouse ascites fluids by affinity chromatography (Protein A or G Sepharose) | ||
| 適用 | IHC | 推奨 希釈条件 |
IHC 1:100, |
CYP1A2 / NM_000761 UltraMAB® 抗体
| 品名 | メーカー | 品番 | 包装 | 希望販売価格 |
|---|---|---|---|---|
Anti Cytochrome P450 1A2 (CYP1A2), Human (Mouse) , UMAB105![]() |
ORG | UM570073 | 30 UL [1.00mg/ml] |
¥75,000 |
Anti Cytochrome P450 1A2 (CYP1A2), Human (Mouse) , UMAB105![]() |
ORG | UM500073 | 100 UL [1.00mg/ml] |
¥204,000 |
商品は「研究用試薬」です。人や動物の医療用・臨床診断用・食品用としては使用しないように、十分ご注意ください。
※ 表示価格について






















このページを印刷する
















