DDX56 を特異的に検出する「UltraMAB® 抗体」です。免疫組織染色(IHC)に最適です
背景
DDX56 / NM_019082
DDX56遺伝子はDEAD ボックスタンパク質ファミリーメンバーをコードする。DEADボックスタンパク質は、保存されたモチーフ「Asp-Glu-Ala-Asp (DEAD)」で特徴づけられ、推定上のRNAヘリカーゼである。転写開始、核内またはミトコンドリアのスプライシング、リボソームとスプライソソーム会合といったRNA2次構造の変化を含む複数の細胞内プロセスに関与する。これらの分布パターンを考慮すると、本ファミリーメンバーのいくつかは、胚形成、精子形成、および細胞生長/分裂に関与すると考えられる。DDX56タンパク質はポリヌクレオチド存在下で核質の65S リボソーム前駆体粒子を付随してATPase活性を示す。本遺伝子はおそらく大リボソームサブユニット(60S サブユニット)会合中にリボソーム生合成 に関与すると考えられている。異なるアイソフォームをコードする複数の転写バリアントが報告されている[RefSeq May 2012]。
製品データ
![]() |
![]() |
| 図.1 パラフィン包埋したヒト結腸組織をanti-DDX56 マウスモノクローナル抗体を使って免疫組織化学染色 左:UM800049 右:UM800050 |
|
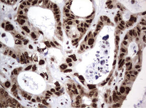
![]() |
![]() |
| 図.2 パラフィン包埋したヒト結腸組織の腺がんをanti-DDX56 マウスモノクローナル抗体を使って免疫組織化学染色 左:UM800049 右:UM800050 |
|
![]() |
![]() |
| 図.3 パラフィン包埋したヒト肝臓組織をanti-DDX56 マウスモノクローナル抗体を使って免疫組織化学染色 左:UM800049 右:UM800050 |
|
![]() |
![]() |
| 図.4 パラフィン包埋したヒト肝臓組織の細胞腫をanti-DDX56 マウスモノクローナル抗体を使って免疫組織化学染色 左:UM800049 右:UM800050 |
|
![]() |
![]() |
| 図.5 パラフィン包埋したヒト卵巣組織をanti-DDX56 マウスモノクローナル抗体を使って免疫組織化学染色 左:UM800049 右:UM800050 |
|
![]() |
![]() |
| 図.6 パラフィン包埋したヒト卵巣組織の腺がんをanti-DDX56 マウスモノクローナル抗体を使って免疫組織化学染色 左:UM800049 右:UM800050 |
|
詳細情報
| 遺伝子名 | Homo sapiens DEAD (Asp-Glu-Ala-Asp) box helicase 56 (DDX56), transcript variant 1 | ||||||
|---|---|---|---|---|---|---|---|
| 別名 | DDX21; DDX26; NOH61 | ||||||
| 抗原 | Human recombinant protein fragment corresponding to amino acids 323-547 of human DDX56 (NP_061955) produced in E.coli. |
||||||
| バッファー | PBS (PH 7.3) containing 1% BSA, 50% glycerol and 0.02% sodium azide. | ||||||
| クローン | UMAB152 UMAB153 |
適用 | WB, IHC, 10K-CHIP WB, IHC, 10K-CHIP |
アイソ タイプ |
IgG1 IgG1 |
推奨 希釈条件 |
WB 1:2000, IHC 1:100~200, WB 1:2000, IHC 1:100~200, |
| 交差種 | Human | 濃度 | 0.5~1.0 mg/ml (Lot Dependent) | ||||
| 精製 | Purified from mouse ascites fluids by affinity chromatography (Protein A or G Sepharose) | ||||||
DDX56 / NM_019082 UltraMAB® 抗体
| 品名 | メーカー | 品番 | 包装 | 希望販売価格 |
|---|---|---|---|---|
Anti DDX56, Human (Mouse) , UMAB152![]() |
ORG | UM870049 | 30 UL [1.00mg/ml] |
¥75,000 |
Anti DDX56, Human (Mouse) , UMAB152![]() |
ORG | UM800049 | 100 UL [1.00mg/ml] |
¥204,000 |
Anti DDX56, Human (Mouse) , UMAB153![]() |
ORG | UM870050 | 30 UL [1.00mg/ml] |
¥75,000 |
Anti DDX56, Human (Mouse) , UMAB153![]() |
ORG | UM800050 | 100 UL [1.00mg/ml] |
¥204,000 |
商品は「研究用試薬」です。人や動物の医療用・臨床診断用・食品用としては使用しないように、十分ご注意ください。






















このページを印刷する

























