EcoQprep™ は、Bioneer社の磁性ナノ粒子である AccuNanoBead™ を利用した核酸抽出キットで、磁気セパレーターを用いて簡便に核酸を抽出することが可能です。
EcoQprep™ Genomic DNA Kit では、培養細胞、動物組織、植物組織から、迅速、簡便にゲノムDNAを抽出可能です。抽出したゲノムDNAは、PCR、qPCR、シーケンシング、ジェノタイピング、クローニングなどのアプリケーションにご使用いただけます。
EcoQprep™ は、Bioneer社の磁性ナノ粒子である AccuNanoBead™ を利用した核酸抽出キットで、磁気セパレーターを用いて簡便に核酸を抽出することが可能です。
EcoQprep™ Genomic DNA Kit では、培養細胞、動物組織、植物組織から、迅速、簡便にゲノムDNAを抽出可能です。抽出したゲノムDNAは、PCR、qPCR、シーケンシング、ジェノタイピング、クローニングなどのアプリケーションにご使用いただけます。
| スケール | Micro | Mini | Midi | Maxi | |
|---|---|---|---|---|---|
| 全血 | 出発試料の量 | 100 µL | 200 µL | 2 mL | 4 mL |
| 一般的な収量 (µg) | < 5 µg | < 10 µg | < 80 µg | < 150 µg | |
| 培養細胞 | 出発試料の量 | ~ 1 x 10⁴ cells | ~ 1 x 10⁶ cells | ~ 5 x 10⁶ cells | ~ 1 x 10⁷ cells |
| 一般的な収量 (µg) | < 120 ng | < 12 µg | < 60 µg | < 120 µg | |
| 動物組織 | 出発試料の量 | ~ 10 mg | ~ 25 mg | ~ 100 mg | ~ 250 mg |
| 一般的な収量 (µg) | < 5 µg | < 10 µg | < 40 µg | < 120 µg | |
| 細菌 | 出発試料の量 | - | ~ 1 x 10⁹ cells | ~ 5 x 10⁹ cells | ~ 1 x 1010 cells |
| 一般的な収量 (µg) | - | < 15 µg | < 80 µg | < 150 µg | |
| DNA 純度 | A260/280 > 1.8 | ||||

| サンプル | EcoQprep™ | 他社製品 A | ||
|---|---|---|---|---|
| 収量 (µg) | 純度 (A260/280) | 収量 (µg) | 純度 (A260/280) | |
| Whole blood (Human blood) |
6.45 µg | 1.85 | 5.53 µg | 1.85 |
| Animal tissue (porcrine skeletal muscle tissue) |
5.48 µg | 1.86 | 5.60 µg | 1.85 |
| HeLa Cell | 24.1 µg | 1.92 | 23.3 µg | 2 |
| E. coli | 14.7 µg | 1.83 | 15.5 µg | 2.05 |
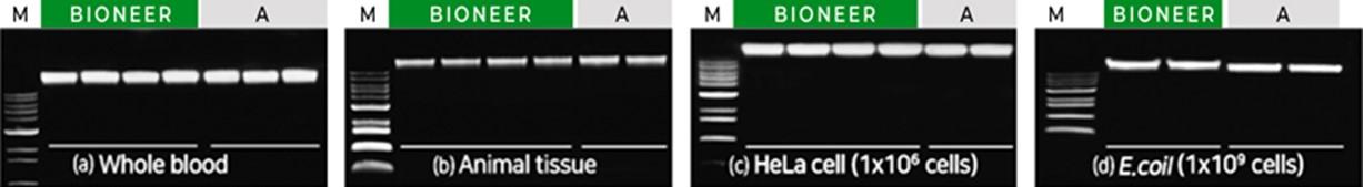
図1. 様々なサンプルからのゲノムDNA抽出
M: 1 kb ladder (Bioneer社品番:D-1040)
BIONEER: EcoQprep™ Genomic DNA Kit
A: 他社製品
(a) Whole blood: 200 µLのヒト全血から抽出したゲノムDNA
(b) Animal tissue: 15 mgのブタ骨格筋組織から抽出したゲノムDNA
(c) HeLa cell: 1x10⁶ cells/rxn から抽出したゲノムDNA
(d) E. coli: DH5α 1x10⁹ cells/rxn から抽出したゲノムDNA
| 品名 | メーカー | 品番 | 包装 | 希望販売価格 |
|---|---|---|---|---|
EcoQprepTM Genomic DNA Kit![]() |
BIN | K-3701 | 1 KIT [50 rxn] |
¥32,000 |
| 品名 | メーカー | 品番 | 包装 | 希望販売価格 |
|---|---|---|---|---|
| EcoQprepTM Magnetic Separation Rack (1.5 mL or 2 mL tube x 12 holes) | BIN | TM-1012 | 1 EACH |
¥74,000 |
商品は「研究用試薬」です。人や動物の医療用・臨床診断用・食品用としては使用しないように、十分ご注意ください。
※ 表示価格について
※ CAS Registry Numbers have not been verified by CAS and may be inaccurate.
© COSMO BIO