TrueORF cDNA クローンコレクションの品添えの強みを生かして、Origene Technologies社では、それらのcDNA クローンをヒト細胞で過剰発現させたライセート商品も取り揃えています。
[関連商品]
TrueORF cDNA クローンコレクションの品添えの強みを生かして、Origene Technologies社では、それらのcDNA クローンをヒト細胞で過剰発現させたライセート商品も取り揃えています。
[関連商品]
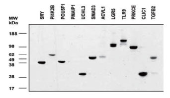
様々なアプリケーションにおける抗体検証用やELISA でのスタンダードとしてお使いいただけます。
*DDK-tag is the same as FLAG tag. FLAG® is a registered trademark of Sigma-Aldrich.

VERIFY Tagged Antigen™ 過剰発現ライセートは、下記 OriGene社サイトから検索いただけます。
https://www.origene.com/lysate/
| 品名 | 品番 | 包装 | 希望販売価格 |
| 各Transient Overexpression Lysate | LYxxxxxx | 100ug | ご照会 |
※品番のxxxxxxには、遺伝子特異的な数字が入ります。
コスモ・バイオHP ”商品検索“ で、遺伝子名、Accession番号などをキーワードにして検索してください。
商品は「研究用試薬」です。人や動物の医療用・臨床診断用・食品用としては使用しないように、十分ご注意ください。
※ 表示価格について
© COSMO BIO