PI3キナーゼパスウェイの解析で有用なAKT抗体です。リン酸化抗体(リン酸化Ser473/Thr308)もラインアップしております。
リン酸化 Ser473、Thr308 抗体もラインアップ AKT 抗体
背景
AKTは、PI3キナーゼパスウェイの構成要素で、Ser473およびThr308のリン酸化によって活性化されます。
AKTは細胞増殖や細胞の生存能において堅固な制御を示します。AKTの過剰発現または不適切な活性は、多くの種類の癌、糖尿病や心臓疾患において報告されています。AKTは、多くのPI3キナーゼ(成長因子、サイトカインやインスリンによって活性化される脂質キナーゼ)の下流におけるイベント(現象)に関与しています。PI3キナーゼはAKTを膜近傍に集め、そこでAKTはPDK1のリン酸化により活性化されます。リン酸化されると、AKTは膜から解離し、細胞質や細胞核におけるターゲットをリン酸化します。AKTには主に(i)アポトーシスの阻害と(ii)増殖促進の2つの役割があります。
抗体リスト
| 抗原 | 合成ペプチド C-R-P-H-F-P-Q-F-S-Y-S-A-S-G-T-A |
| 交差性 | ヒト、ラット、マウス、ニワトリ |
| 適用 | WB、IHC (P)、IF、ELISA |

図1 免疫蛍光顕微鏡検査法
ウサギ抗AKT抗体を80倍に希釈し、核をターゲットとしたAKT構造を発現している新生児ラット心筋細胞を染色した。抗AKT染色を緑色を示す。アクチンフィラメントはphalloidinを結合した Texas-red™ を使用して赤色で示す。

図2 ウェスタンブロット
ウサギ抗AKT抗体を500倍希釈し、ウェスタンブロットにより AKTを検出した。およそ 20μg の NIH/3T3全細胞溶解物を、MOPSバッファーを使用した 10% NuPage SDS-PAGEゲルに流した。洗浄後、10,000倍希釈した HRP標識ヤギ抗ウサギIgG (品番611-103-122) でPierce社 SuperSignal™ 基質を使い発色検出した。

図3 免疫化学染色
ウサギ抗AKT抗体を1,000倍希釈し、免疫組織染色によりAKTを検出した。(A) は正常結腸組織染色、(B) は腫瘍組織。ホルマリン固定パラフィン包埋した組織を使用。
| 品名 | メーカー | 品番 | 包装 | 希望販売価格 |
|---|---|---|---|---|
Anti AKT (Rabbit) Unlabeled![]() |
RKL | 100-401-401 | 200 UL |
¥132,000 |
| 抗原 | 合成ペプチド C-H-F-P-Q-F-pS-Y-S-A-S |
| 交差性 | ヒト、ラット、マウス、ニワトリ |
| 適用 | WB、IHC (P)、ELISA |
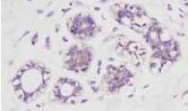
図4 免疫組織染色
ウサギ抗AKT pS473抗体を100倍希釈し、ヒト乳癌組織中のAKTを免疫組織染色で検出した。染色は正常乳房の基礎レベルのリン酸化よりも強くなった。ROCKLAND社のウサギ抗AKT p473 抗体は組織の前処理は不要。シグナルはDako社の Techmatae streptavidin-biotin reagents を使って発色した。 ホルマリン固定、パラフィン包埋した組織を使用。

図5 免疫組織染色
図4の画像の拡大した。

図6 ウェスタンブロット
ラビット抗AKT pS473 を 200倍希釈し、ウェスタンブロットでリン酸化AKTを検出した。核をターゲットとしたAKTキナーゼを発現しているアデノウィルスに感染した細胞の核抽出物を使用。

図7 免疫蛍光顕微鏡検査法
ウサギ抗AKT pS473抗体を40倍に希釈し、野生株のAKTが発現しているアデノウィルスに感染した心筋細胞中のリン酸化AKT (緑色) を染色した。アクチンフィラメントはphalloidinを結合した Texas-red™ を使用して赤色で示す。

図8 免疫組織染色
ウサギ抗AKT pS473抗体を 100倍希釈し、ヒト正常乳房組織中のAKTを免疫組織染色で検出した。AKTは正常組織においてリン酸化レベルが低かった。リン酸化したAKTは細胞質にはっきりと局在している。ROCKLAND社のウサギ抗AKT p473 抗体は組織の前処理は不要。シグナルはDako社の Techmatae streptavidin-biotin reagents を使って発色した。 ホルマリン固定パラフィン包埋した組織を使用。
| 品名 | メーカー | 品番 | 包装 | 希望販売価格 |
|---|---|---|---|---|
Anti AKT, phospho Ser473 (Rabbit) Unlabeled![]() |
RKL | 600-401-268 | 100 UG |
¥126,000 |
| 抗原 | 合成ペプチド K-D-G-A-T-M-K-pT-F-C-G-T |
| 交差性 | ヒト |
| 適用 | WB、ELISA |
| 品名 | メーカー | 品番 | 包装 | 希望販売価格 |
|---|---|---|---|---|
Anti AKT, phospho Thr308 (Rabbit) Unlabeled![]() |
RKL | 600-401-269 | 100 UG |
¥126,000 |
商品は「研究用試薬」です。人や動物の医療用・臨床診断用・食品用としては使用しないように、十分ご注意ください。
※ 表示価格について






















このページを印刷する







