BUB1B を特異的に検出する「UltraMAB® 抗体」です。免疫組織染色(IHC)に最適です。
背景
BUB1B / NM_001211
BUB1B遺伝子は紡錘体チェックポイント機能に関与するキナーゼをコードする。BUB1Bタンパク質は動原体に局在化し、後期促進複合体/サイクロソーム(AOC/C)阻害に関与して分裂後期のオンセットを遅滞させ、染色体分離を的確に進める。種々のがんにおいて紡錘体チェックポイント機能障害が報告されている。
製品データ
![]() 図.1 9種の細胞株の可溶化液(35ug)をanti-BUB1B モノクローナル抗体を使ってウェスタンブロット解析(Clone UMAB7) |
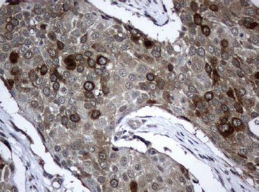
![]() 図.2 パラフィン包埋したヒト肺組織の細胞腫をanti-BUB1B マウスモノクローナル抗体を使って免疫組織化学染色(Clone UMAB7、1:100 希釈) |
![]() 図.3 A549 細胞をanti-BUB1B マウスモノクローナル抗体を使って免疫組織化学染色(UM500007、緑色)。アクチン線維はTRITC- ファロイジン(赤色)ラベルし、核はDAPI 染色(青色)した。 |
![]() 図.4 HeLa 細胞をanti-BUB1B マウスモノクローナル抗体を用いて免疫蛍光染色(UM500007、緑色)。アクチン線維はTRITC- ファロイジン(赤色)ラベルし、核はDAPI 染色(青色)した。 |
詳細情報
| 遺伝子名 | Homo sapiens BUB1 mitotic checkpoint serine/threonine kinase B (BUB1B) | ||
|---|---|---|---|
| 別名 | Bub1A; BUB1beta; BUBR1; hBUBR1; MAD3L; MVA1; SSK1 | ||
| 抗原 | Protein expressed in 293T cell transfected with human BUB1B expression vector | ||
| バッファー | PBS (PH 7.3) containing 1% BSA, 50% glycerol and 0.02% sodium azide. | ||
| クローン | UMAB7 | アイソタイプ | IgG2a |
| 交差種 | Human, Monkey | 濃度 | 0.5〜1.0 mg/ml (Lot Dependent) |
| 精製 | Purified from mouse ascites fluids by affinity chromatography (Protein A or G Sepharose) | ||
| 適用 | WB, IHC, IF | 推奨 希釈条件 |
WB 1:2000, IHC 1:50, IF 1:100, Flow 1:100, IF 1:100 |
BUB1B / NM_001211 UltraMAB® 抗体
| 品名 | メーカー | 品番 | 包装 | 希望販売価格 |
|---|---|---|---|---|
Anti BubR1 (BUB1B), Human (Mouse) , UMAB7![]() |
ORG | UM570007 | 30 UL [0.5-1.0 mg/ml] |
¥75,000 |
Anti BubR1 (BUB1B), Human (Mouse) , UMAB7![]() |
ORG | UM500007 | 100 UL [0.5-1.0 mg/ml] |
¥204,000 |
商品は「研究用試薬」です。人や動物の医療用・臨床診断用・食品用としては使用しないように、十分ご注意ください。
※ 表示価格について






















このページを印刷する

















