 動物に潰瘍性大腸炎を誘発するために使用される最も一般的で効果的な化合物の1つです。デキストラン硫酸ナトリウム(DSS)大腸炎モデルは、長期罹患潰瘍性大腸炎の患者で発生するような、結腸の炎症から発生する大腸癌の研究にも広く使用されており、 MP Biomedicals社製品の分子量: 36,000-50,000のデキストラン硫酸ナトリウム塩は、過去19年間で、10,000報を超える科学出版物で引用されています。
動物に潰瘍性大腸炎を誘発するために使用される最も一般的で効果的な化合物の1つです。デキストラン硫酸ナトリウム(DSS)大腸炎モデルは、長期罹患潰瘍性大腸炎の患者で発生するような、結腸の炎症から発生する大腸癌の研究にも広く使用されており、 MP Biomedicals社製品の分子量: 36,000-50,000のデキストラン硫酸ナトリウム塩は、過去19年間で、10,000報を超える科学出版物で引用されています。
背景
IBD モデルとは?
炎症性腸疾患(IBD: Inflammatory Bowel Disease)は、消化管 (GI管) に影響を与える慢性炎症性疾患のグループのことを指します。発症メカニズムに基づく2つの典型的なカテゴリが存在し、主に結腸と直腸に影響を及ぼす潰瘍性大腸炎 (US: ulcerative colitis)と消化管に影響を及ぼすクローン病 (CD) があります。
動物モデルは、上記の発症メカニズムを実証するために最も効果的で有益な方法の一つであることが証明されています。これらは、粘膜免疫学の理解や治療法の探索に非常に有用なツールとして役立ちます。化学物質誘発性モデルの作製は、ヒトでの観察されるような、消化管での免疫学的かつ組織学的な変化を含む総体的な病因の研究に、最も強固で再現性のある方法の一つです。
さまざまな化学物質誘発性の大腸炎モデルの中でも、デキストラン硫酸ナトリウム塩(DSS)誘発性大腸炎モデルは投与の容易さとヒト潰瘍性大腸炎に非常に類似したメカニズムを持つことから、幅広く利用されています。デキストラン硫酸ナトリウム塩(DSS)はデキストランのポリアニオン誘導体です。飲料水でデキストラン硫酸ナトリウム塩を投与すると、結腸に存在する中鎖脂肪酸と結合して炎症を誘発し、マウスやラットの大腸炎を引き起こします。最適なDSS濃度で用いることで、7~10日程度の短期間で、再現性のある結果が得られます。
マウス結腸癌モデルを誘発させるためにDSS をアゾキシメタン (AOM: azoxymethane) と組み合わせて用いることは、昨今のヒト結腸直腸癌の発癌メカニズムの研究で広く採用されています。AOMはモデル誘導の開始時に投与し、次に大腸炎誘発剤のDSSを繰り返し投与します。
特長
- 重度の大腸炎(炎症性腸疾患)を誘発させる
 (急性/慢性潰瘍性大腸炎、慢性大腸炎関連結腸癌の誘発など)
- 硫黄の高い含有率:19%
- 比旋光度:+104°
- 低pH:6.2 (1%溶液)
| CAS RN® | 9011-18-1 | 
|---|---|
| グレード | 大腸炎グレード | 
| 沸点 | 310 ℃ | 
| 融点 | 92 ℃ | 
| 分子量 | 36,000 - 50,000 Da | 
| pH | (1% 水溶液中) 5-7.11 | 
| RTECS番号 | HH9290000 | 
| 溶解性 | 100 mg/mL (分子量の増加に伴い減少) | 
製品使用例
図1 飲料水で 2.0% (w/w)のDDSを7日間投与し、他社競合品との大腸炎誘発性を比較した。(Bamba らの研究による報告)
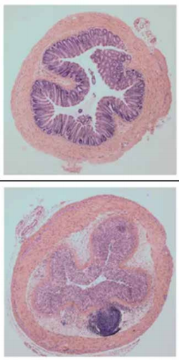
図2 ヘマトキシリンおよびエオシンで染色された生検(倍率:40倍)。
上:コントロール
下:飲料水で2.5% DSS溶液を7日間連続投与したマウス
(Zhengらの研究による報告)
参考文献
- Bamba, S.; et al. The severity of dextran sodium sulfate-induced colitis can differ between dextran sodium sulfate preparations of the same molecular weight range. Digestive diseases and sciences. 2012, 57.2, 327-334.
- Zheng, Z.; et al. Screening of an anti-inflammatory peptide from Hydrophis cyanocinctus and analysis of its activities and mechanism in DSS-induced acute colitis. Scientific reports. 2016, 6, 25672.
アプリケーションノート
以下リンクから、マウスやラット、その他動物での使用文献一覧と共に、各動物種での参考投与量をご覧いただけます。
デキストラン硫酸ナトリウム塩(DSS)
| 品名 | メーカー | 品番 | 包装 | 希望販売価格 | 
|---|---|---|---|---|
| Dextran Sulfate, Sodium Salt  | MPB | 160110 | 1 G | ¥7,600 | 
| Dextran Sulfate, Sodium Salt  | MPB | 160110 | 10 G | ¥20,100 | 
| Dextran Sulfate, Sodium Salt  | MPB | 160110 | 25 G | ¥37,500 | 
| Dextran Sulfate, Sodium Salt  | MPB | 160110 | 50 G | ¥67,300 | 
| Dextran Sulfate, Sodium Salt  | MPB | 160110 | 100 G | ¥125,700 | 
| Dextran Sulfate, Sodium Salt  | MPB | 160110 | 500 G | ¥452,400 | 
【関連商品】Azoxymethane (AOM)
| 品名 | メーカー | 品番 | 包装 | 希望販売価格 | 
|---|---|---|---|---|
| Azoxymethane  | MPB | 183971 | 100 MG | ¥68,000 | 
商品は「研究用試薬」です。人や動物の医療用・臨床診断用・食品用としては使用しないように、十分ご注意ください。
※ 表示価格について

 
      
              
    
    























 
               
               
               
               
              







 このページを印刷する
このページを印刷する 
                





















