小胞体ストレス(ERストレス)におけるマーカー抗体をご紹介します。小胞体ストレスは、アルツハイマー病やパーキンソン病を含む神経変性疾患や炎症、癌等の様々な疾患に関与することが示唆されています。
マーカー抗体をご紹介!神経変性疾患や炎症、癌等の様々な疾患に関与 小胞体ストレスとは
背景
■ 小胞体とは?
小胞体(ER:endoplasmic reticulum)は、脂質やステロイドの合成、タンパク質の折りたたみや成熟化、カルシウム貯蔵、および解毒を担う細胞小器官です。小胞体は、細胞質を横断するようにして核膜までつながる、袋状の膜構造(cisternae:小胞体槽/小胞体シスターネ)によって構成されます。小胞体は、その構造と機能によって、2つに分けられます。一つは粗面小胞体(Rough endoplasmic reticulum)と呼ばれ、小胞体膜の細胞質側にリボソームが付着しています。粗面小胞体は、主にタンパク質合成に関与します。もう一方は、滑面小胞体(Smooth endoplasmic reticulum)と呼ばれ、リボソームが付着していない小胞体です。滑面小胞体は、酵素およびその代謝産物の貯蔵を行います。
■ 小胞体ストレスとは?
小胞体でタンパク質が正常に折りたたまれなかった場合、誤ったタンパク質(変性タンパク質)が蓄積することによって引き起こされる現象は、小胞体ストレス(ER ストレス)と呼ばれ、小胞体ストレス応答(UPR:unfolded protein response)と呼ばれるいくつかのシグナル伝達経路の活性化が引き起こされます。小胞体ストレスは、パーキンソン病やアルツハイマー病等の神経変性疾患、炎症や癌等に関与することが報告されています。
■ 小胞体ストレスと小胞体ストレス応答
小胞体におけるホメオスタシスの崩壊は、誤った折りたたみタンパク質または折りたたまれなかったタンパク質の蓄積をもたらし、いわゆる小胞体ストレスと呼ばれる状態を引き起こします。小胞体ストレスは、複数のシグナル伝達経路の活性化を誘導し、この反応を小胞体ストレス応答(UPR:unfolded protein response)と呼びます。小胞体ストレスは、主に細胞機能障害および細胞死を誘発します。小胞体ストレスならびに小胞体ストレス応答の機構を明らかにすることは、小胞体ストレスの関与が示唆される疾患における新規治療ターゲットの発見につながるかもしれません。
■ 小胞体ストレスと神経変性疾患
小胞体ストレスは、主にカルシウムホメオスタシス(カルシウム濃度の制御)の障害、ミスフォールドタンパク質の蓄積によって引き起こされます。小胞体ストレス条件下に陥った小胞体は、生体防御反応として、タンパク質発現および細胞シグナル伝達機構の変化、ミスフォールドタンパク質分解の誘導を行います。小胞体ストレスは、アルツハイマー病やパーキンソン病等の様々な神経変性疾患に関与することが報告されています。しかしながら、小胞体ストレスの神経変性疾患における作用機構は十分に明らかになっていません。今後、神経変性疾患と小胞体ストレスの関係を明らかにすることで、新たな神経保護療法の開発が期待されています。
| 抗体名 | 品番 | タイプ |
|---|---|---|
| ERp57/ERp60 | 15967-1-AP | ウサギポリクローナル |
| ERp72 | 14712-1-AP | ウサギポリクローナル |
| GRP94 | 14700-1-AP | ウサギポリクローナル |
| PDI | 11245-1-AP | ウサギポリクローナル |
| TAP1 | 11114-1-AP | ウサギポリクローナル |
製品フォーカス | ERp57/ERp60 抗体
ERp57/ERp60は、PDIA3、P58、ER60、ERp61、GRP57、GRP58、PI-PLCとも呼ばれる、PDIファミリーに属する因子です。ERp57/ERp60(PDIA3)は、分泌タンパク質の正確な折りたたみのためのジスルフィド結合の酸化、還元、および異性化に関与し、小胞体におけるタンパク質修飾と輸送の前に働きます。PDIA3は、癌細胞増殖の阻害やアポトーシスに関連することが報告されています。かつては、PDIA3はホスホリパーゼであると考えられていました。しかしながら、実際には、PDIA3は、タンパク質ジスルフィドイソメラーゼ活性を有することが実証されました。また、PDIA3とレクチンの複合体は、糖タンパク質基質中のジスルフィド結合形成を促進することによって、タンパク質の折りたたみを媒介すると考えられています。
| 品番 | 15967-1-AP |
|---|---|
| タイプ | ウサギポリクローナル |
| 適用 | ELISA、FC(フローサイトメトリー)、IF(免疫蛍光染色)、IHC(免疫組織化学)、IP(免疫沈降)、WB(ウェスタンブロット) |
| 交差種 | ヒト、マウス、ラット、ブタ |
ERp57/ERp60 抗体(品番:15967-1-AP、希釈倍率 1:50)を用いた、HepG2細胞(10% Formaldehyde 固定)の免疫蛍光染色。二次抗体は goat anti-rabbit IgG(H+L) Alexa Fluor 488-conjugated 抗体を用いた。
製品フォーカス | ERp72 抗体
ERp72は、PDIA4(Protein disulfide-isomerase A4)またはERP70とも呼ばれる、タンパク質ジスルフィドイソメラーゼファミリーに属する因子です。ERp72は、タンパク質中の -S-S- 結合の再配置を触媒します。ERp72は、小胞体内腔(ER lumen)に局在する可溶性タンパク質で、COOH末端に小胞体保留シグナルKEEL(Lys-Glu-Glu- Leu)を持ちます。マウスおよびヒトERp72中には6つのシステイン残基が存在します。全てのシステイン残基は、チオレドキシンモチーフ CGHC(Cys-Gly-His-Cys)中に存在します[PMID:15475357
]。完全長タンパク質は、20残基のシグナルペプチドを有します。
| 品番 | 14712-1-AP |
|---|---|
| タイプ | ウサギポリクローナル |
| 適用 | ELISA、IF(免疫蛍光染色)、IHC(免疫組織化学)、IP(免疫沈降)、WB(ウェスタンブロット) |
| 交差種 | ヒト、サル、マウス、ラット |
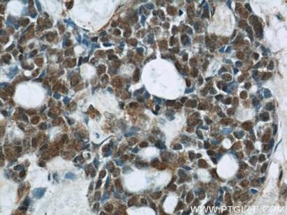
ERp72 抗体(品番:14712-1-AP、希釈倍率 1:100)を用いた、ヒト肺癌(パラフィン包埋切片)の免疫組織化学染色(40X)。
| 抗体名 | 品番 | タイプ |
|---|---|---|
| ASK1 | 14385-1-AP | ウサギポリクローナル |
| ATF4 | 10835-1-AP | ウサギポリクローナル |
| BCL-2 | 12789-1-AP | ウサギポリクローナル |
| Calnexin | 10427-2-AP | ウサギポリクローナル |
| Caspase3 | 19677-1-AP | ウサギポリクローナル |
| Caspase12 | 55238-1-AP | ウサギポリクローナル |
| Cytochrome C | 66264-1-Ig | マウスモノクローナル |
| JNK | 51151-1-AP | ウサギポリクローナル |
| XBP1 | 25997-1-AP | ウサギポリクローナル |
製品フォーカス | CHOP 抗体
CHOPは、GADD153またはDDIT3としても知られている、構造および調節領域の両方において高度に保存された遺伝子です。CHOPは、小胞体ストレスによって顕著に誘導されるタンパク質で、ミスフォールドタンパク質や折りたたまれていないタンパク質に応答して活性化されます。CHOPの活性化はアポトーシスを誘導します。したがって、CHOPは、小胞体ストレス依存性細胞死のプロアポトーシスマーカーと考えられています。CHOPは、転写因子 C/EBP や LAP とヘテロ二量体を形成し、ドミナントネガティブに働いてそれらを阻害します。また、CHOPは、母斑のメラノーマへの悪性転換に関与することも示唆されています。
| 品番 | 15204-1-AP |
|---|---|
| タイプ | ウサギポリクローナル |
| 適用 | ELISA、FC(フローサイトメトリー)、IHC(免疫組織化学)、WB(ウェスタンブロット) |
| 交差種 | ヒト、マウス、ラット、ハムスター |
CHOP 抗体(品番:15204-1-AP、希釈倍率 1:50)を用いた、ヒト子宮頸癌(パラフィン包埋切片)の免疫組織化学染色(40X)
製品フォーカス | GRP78 抗体
GRP78(HSPA5)は、「免疫グロブリン重鎖結合タンパク質(immunoglobulin heavy chain-binding protein:BiP)」とも呼ばれる、HSP70(Heat Shock Protein 70:熱ショックタンパク質70)ファミリーのメンバーであり、小胞体(ER)でのタンパク質アッセンブリと折りたたみに関与します。GRP78は、すべての真核生物細胞の小胞体で恒常的に発現する小胞体タンパク質です。また、GRP78は、癌細胞増殖の阻害およびアポトーシスに関連することが報告されています。
| 品番 | 11587-1-AP |
|---|---|
| タイプ | ウサギポリクローナル |
| 適用 | ELISA、FC(フローサイトメトリー)、IF(免疫蛍光染色)、IHC(免疫組織化学)、IP(免疫沈降)、WB(ウェスタンブロット) |
| 交差種 | ヒト、マウス、ラット、ハムスター、ゼブラフィッシュ |
GRP78 抗体(品番:11587-1-AP、希釈倍率 1:25)を用いた、HepG2細胞の免疫蛍光染色。二次抗体はgoat anti-rabbit IgG rhodamine-labelled 抗体を用いた。
製品フォーカス | PERK 抗体
PERKは、PEK、EIF2AK3(Eukaryotic translation initiation factor 2-alpha kinase 3)としても知られている、GCN2 サブファミリーに属するタンパク質です。PERKは、小胞体でのプロインスリンの品質管理と輸送の調節に関与し、循環中のインスリン要求と関連する、インスリン分泌β細胞における代謝センサーとして作用します。また、PERK(EIF2AK3)はまた、ストレスキナーゼとしての確立された役割に加えて、非ストレス条件下での翻訳調節機能を有します。
| 品番 | 24390-1-AP |
|---|---|
| タイプ | ウサギポリクローナル |
| 適用 | ELISA、IF(免疫蛍光染色)、IHC(免疫組織化学)、WB(ウェスタンブロット) |
| 交差種 | ヒト |
PERK 抗体(品番 :24390-1-AP、希釈倍率 1:50)を用いた、ヒト胎盤組織(パラフィン包埋切片)の免疫組織化学染色(40X)
製品フォーカス | ATF6 抗体
ATF6(Activating Transcription Factor 6)は、転写因子の一つであり、小胞体ストレス応答(UPR:unfolded protein response)タンパク質の発現を活性化させます。ATF6は、DNA上における 小胞体ストレス応答エレメント(ERSE:ER stress response element)(5’-CCAAT-N(9)-CCAC[GA]-3’)、および ERSE II(5’-ATTGG-N-CCACG-3’)の半領域、5’-CCAC[GA]-3’に結合します。ARF6は、小胞体ストレス応答に反応し、細胞質転写因子ドメインを含む約50kDaの断片が、タンパク質分解によって放出されます。ATF6の切断は、site-1 protease(S1P)、およびsite-2 protease(S2P)によって順次行われます。670 残基のアミノ酸からなるタンパク質であるATF6が完全にグリコシル化されている場合、そのグリコシル化修飾のために移動度が変化し、変性 SDSゲルにおいて約90kDaに検出されます。ATF6は、N結合型グリコシル化する3つのコンセンサス部位を有し、グリコシル化タンパク質として通常存在しています。突然変異または実験的処理によって、異なるグリコシル化形態のATF6を生じる場合があります。
| 品番 | 24169-1-AP |
|---|---|
| タイプ | ウサギポリクローナル |
| 適用 | ELISA、FC(フローサイトメトリー)、IF(免疫蛍光染色)、IHC(免疫組織化学)、IP(免疫沈降)、WB(ウェスタンブロット) |
| 交差種 | ヒト、マウス、ラット |
ATF6 抗体(品番:24169-1-AP、希釈倍率 1:50)を用いた、ヒト膵臓組織(パラフィン包埋切片)の免疫組織化学染色(40X)
| 抗体名 | 品番 | タイプ |
|---|---|---|
| AKT1 | 10176-2-AP | ウサギポリクローナル |
| alpha-synuclein | 10842-1-AP | ウサギポリクローナル |
| Amyloid beta | 60342-1-Ig | マウスモノクローナル |
| Tau | 10274-1-AP | ウサギポリクローナル |
| TDP-43 | 10782-2-AP | ウサギポリクローナル |
| PARK7, DJ-1 | 11681-1-AP | ウサギポリクローナル |
| 抗体名 | 品番 | タイプ |
|---|---|---|
| APP | 60342-1-Ig | マウスモノクローナル |
| BCHE | 23854-1-AP | ウサギポリクローナル |
| CALR | 10292-1-AP | ウサギポリクローナル |
| DLG4 | 20665-1-AP | ウサギポリクローナル |
| HMOX1 | 10701-1-AP | ウサギポリクローナル |
| HMOX2 | 14817-1-AP | ウサギポリクローナル |
| HSPA1A | 10995-1-AP | ウサギポリクローナル |
| IFNG | 15365-1-AP | ウサギポリクローナル |
| P4HB | 11245-1-AP | ウサギポリクローナル |
| PD1A4 | 14712-1-AP | ウサギポリクローナル |
| SERCA2 | 13985-1-AP | ウサギポリクローナル |
| TAP1 | 11114-1-AP | ウサギポリクローナル |
| UGGT1 | 14170-1-AP | ウサギポリクローナル |
| VCP | 10736-1-AP | ウサギポリクローナル |
| 品名 | メーカー | 品番 | 包装 | 希望販売価格 |
|---|---|---|---|---|
Anti ERp57/ERp60, Human (Rabbit) Unlabeled![]() |
PGI | 15967-1-AP | 150 UL |
¥67,000 |
Anti ERp72, Human (Rabbit) Unlabeled![]() |
PGI | 14712-1-AP | 150 UL |
¥67,000 |
Anti GRP94, Human (Rabbit) Unlabeled![]() |
PGI | 14700-1-AP | 150 UL |
¥67,000 |
Anti PDI, Human (Rabbit) Unlabeled![]() |
PGI | 11245-1-AP | 150 UL |
¥67,000 |
Anti TAP1, Human (Rabbit) Unlabeled![]() |
PGI | 11114-1-AP | 150 UL |
¥67,000 |
| 品名 | メーカー | 品番 | 包装 | 希望販売価格 |
|---|---|---|---|---|
Anti ASK1, Human (Rabbit) Unlabeled![]() |
PGI | 14385-1-AP | 150 UL |
お問い合わせ |
Anti ATF4, Human (Rabbit) Unlabeled![]() |
PGI | 10835-1-AP | 150 UL |
¥67,000 |
Anti BCL2, Human (Rabbit) Unlabeled![]() |
PGI | 12789-1-AP | 150 UL |
¥67,000 |
Anti Calnexin, Human (Rabbit) Unlabeled![]() |
PGI | 10427-2-AP | 150 UL |
¥67,000 |
Anti Caspase 3/P17/P19, Human (Rabbit) Unlabeled![]() |
PGI | 19677-1-AP | 150 UL |
¥67,000 |
Anti Caspase 12, Human (Rabbit) Unlabeled![]() |
PGI | 55238-1-AP | 150 UL |
¥67,000 |
Anti Cytochrome c, Human (Mouse) Unlabeled, 2D8D11![]() |
PGI | 66264-1-IG | 150 UL |
¥67,000 |
Anti JNK, Human (Rabbit) Unlabeled![]() |
PGI | 51151-1-AP | 150 UL |
¥67,000 |
Anti XBP-1U Specific, Human (Rabbit) Unlabeled![]() |
PGI | 25997-1-AP | 150 UL |
¥67,000 |
| 品名 | メーカー | 品番 | 包装 | 希望販売価格 |
|---|---|---|---|---|
Anti AKT, Human (Rabbit) Unlabeled![]() |
PGI | 10176-2-AP | 150 UL |
¥67,000 |
Anti α-synuclein, Human (Rabbit) Unlabeled![]() |
PGI | 10842-1-AP | 150 UL |
¥67,000 |
Anti APP, Human (Mouse) Unlabeled, 5C2A1![]() |
PGI | 60342-1-IG | 150 UL |
¥67,000 |
Anti TAU, Human (Rabbit) Unlabeled![]() |
PGI | 10274-1-AP | 150 UL |
¥67,000 |
Anti TDP-43, Human (Rabbit) Unlabeled![]() |
PGI | 10782-2-AP | 150 UL |
¥67,000 |
Anti PARK7/DJ-1, Human (Rabbit) Unlabeled![]() |
PGI | 11681-1-AP | 150 UL |
¥67,000 |
| 品名 | メーカー | 品番 | 包装 | 希望販売価格 |
|---|---|---|---|---|
Anti APP, Human (Mouse) Unlabeled, 5C2A1![]() |
PGI | 60342-1-IG | 150 UL |
¥67,000 |
Anti BCHE, Human (Rabbit) Unlabeled![]() |
PGI | 23854-1-AP | 150 UL |
¥67,000 |
Anti calreticulin, Human (Rabbit) Unlabeled![]() |
PGI | 10292-1-AP | 150 UL |
¥67,000 |
Anti PSD95-Specific, Human (Rabbit) Unlabeled![]() |
PGI | 20665-1-AP | 150 UL |
¥67,000 |
Anti HO-1/HMOX1, Human (Rabbit) Unlabeled![]() |
PGI | 10701-1-AP | 150 UL |
¥67,000 |
Anti HMOX2, Human (Rabbit) Unlabeled![]() |
PGI | 14817-1-AP | 150 UL |
¥67,000 |
Anti HSP70, Human (Rabbit) Unlabeled![]() |
PGI | 10995-1-AP | 150 UL |
¥67,000 |
Anti IFN-gamma, Human (Rabbit) Unlabeled![]() |
PGI | 15365-1-AP | 150 UL |
¥67,000 |
Anti PDI, Human (Rabbit) Unlabeled![]() |
PGI | 11245-1-AP | 150 UL |
¥67,000 |
Anti ERp72, Human (Rabbit) Unlabeled![]() |
PGI | 14712-1-AP | 150 UL |
¥67,000 |
Anti SERCA2, Human (Rabbit) Unlabeled![]() |
PGI | 13985-1-AP | 150 UL |
お問い合わせ |
Anti TAP1, Human (Rabbit) Unlabeled![]() |
PGI | 11114-1-AP | 150 UL |
¥67,000 |
Anti UGCGL1, Human (Rabbit) Unlabeled![]() |
PGI | 14170-1-AP | 150 UL |
¥67,000 |
Anti VCP, Human (Rabbit) Unlabeled![]() |
PGI | 10736-1-AP | 150 UL |
¥67,000 |
◆◇【最大30%オフ!】自由に選んで&まとめてお得に!SmartStartキャンペーン2026 ◇◆ 
◆◇【無料サンプル受付中!】Nano-Trap(ナノトラップ)免疫沈降試薬 ◇◆ 
◆◇【FlexAble 2.0(フレクサブル・ツー)が新登場】10分間でラベリングできる抗体標識キット ◇◆ 
- ウサギ IgG 抗体標識キット
- マウス IgG1 抗体標識キット
- マウス IgG2a 抗体標識キット
- マウス IgG2b 抗体標識キット
- ラット IgG light chain(κ鎖)抗体標識キット
- ヒト IgG 抗体標識キット
◆◇【はじめてでも安心!】IHCeasy免疫組織化学染色キット ◇◆ 
◆◇【今なら同時購入で最大30%オフ!】プロテインテックの免疫アッセイキット ◇◆ 
◆◇ cGMPグレードも選べる!ヒト細胞由来のサイトカイン・増殖因子 ◇◆ 
商品は「研究用試薬」です。人や動物の医療用・臨床診断用・食品用としては使用しないように、十分ご注意ください。
※ 表示価格について






















このページを印刷する



















