ヤギ抗マウス免疫グロブリンM特異的二次抗体 Goat Anti-Mouse IgM-Specific 組換え抗体(HRP標識)
HRP標識 Goat Anti-Mouse IgM-Specific 組換え抗体(HRP-Goat Anti-Mouse IgM-Specific Recombinant Secondary Antibody)は、ヤギ(Goat)を宿主動物(免疫動物)として作製されたマウスIgM(Mouse IgM)を特異的に検出するHRP標識済みのリコンビナントモノクローナル二次抗体です。本製品はマウスIgGおよびIgAに対する交差反応性を示しません。
本製品は『Multi-rAb(マルチ・ラブ)シリーズ』から派生したスピンオフ製品です。Multi-rAb(マルチ・ラブ)二次抗体が複数クローンを混合したカクテルタイプの二次抗体である一方、本製品は単一クローンのみで構成される二次抗体です。
[WBを加速する抗体反応バッファー]ブロッティング・アクセラレーターとは? 
[豊富なラインアップ!]プロテインテックの従来型二次抗体
[新製品!IP-WB用二次抗体]軽鎖&重鎖断片を検出しない構造特異的二次抗体
■ リコンビナント二次抗体の利点とは?
高いロット間一貫性
リコンビナント(組換え)抗体は、遺伝子配列を取得して作製されたモノクローナル抗体です。リコンビナント抗体発現用の各クローンは、同質かつ均一な抗体群を産生するため、高いロット間一貫性と安定的な供給能を提供します。ロット間変動を最小限に抑えられるため、研究結果の一貫性/再現性が重要となる長期的プロジェクトにおいても有用です。
高い特異性&低いバックグラウンド
プロテインテックのリコンビナント二次抗体の開発プロセスでは、ターゲットとする免疫グロブリン(Ig)以外への交差反応性が最小限のクローンをスクリーニングし、厳選されたクローンから発現させたリコンビナントモノクローナル抗体を製品化しています。そのため、高い特異性と低いバックグラウンドを実現します。
■ Goat anti Mouse IgM-Specific 抗体
| 商品名 | Goat Anti-Mouse IgM-Specific 組換え抗体, HRP標識 (HRP-Goat Anti-Mouse IgM-Specific Recombinant Secondary Antibody) (ヤギ由来抗マウスIgM特異的二次抗体) |
| 品番 | RGAM701  |
| 検出ターゲット | マウスIgM(Mouse IgM-Specific) |
| 宿主動物/免疫動物 | ヤギ(Goat)由来(リコンビナントモノクローナル抗体) |
| 特異性(交差性/非交差性) | [交差動物種・交差アイソタイプ(specificity, cross-reactivity)]マウスIgM [非交差動物種・非交差アイソタイプ(minimal cross-reactivity)]マウスIgG、マウスIgA |
| 容量 | 200 µL/1 mL |
| フォーマット | 液体(Liquid) |
| アプリケーション | WB(ウェスタンブロット)、Dot blot、ELISA |
| 標識 | HRP 標識済み |
| 精製 | アフィニティ精製 (The antibody was purified from culture media supernatant by immunoaffinity chromatography using Protein G beads.) |
| 保存剤 | 0.1% Proclin-300 |
| 保存バッファー | PBS with 50% glycerol, 10 mg/mL BSA, 0.1% Proclin-300, pH 7.4. |
| 保存方法 | - 凍結防止剤として、バッファー中に50%グリセロールを含みます。
- 分注は行わず、元のバイアルの状態で【-20 ℃】で保管してください。
そのほか、よくあるご質問はこちら 
|
- WB、Dot blot、ELISA等の各種アプリケーションで検証されています。
- モノクローナル抗体の「優れた特異性」
- 安定的な供給能、高いロット間一貫性、再現性を備えるため、長期的プロジェクトにも最適です。
- 対象とする免疫グロブリン(Ig)アイソタイプへの交差反応性が最小限のクローンを選抜しています。
- 液体フォーマット/グリセロールバッファー入り(-20 ℃の冷凍庫で凍らず便利!)で提供されます。
■ Goat Anti-Mouse IgM-Specific 組換え抗体(HRP標識)(品番:RGAM701)
• ウェスタンブロット(WB)検証データ
図. 様々なライセートをSDS-PAGEに供した後、Beta Actinマウスモノクローナル抗体(品番:60008-1-Ig、アイソタイプ:IgM)を用いてウェスタンブロットを行った。検出には、HRP-Goat Anti-Mouse IgM-Specific Recombinant Secondary Antibody(品番:RGAM701、希釈倍率1:20000)およびMulti-rAb HRP-Goat Anti-Mouse IgG (H+L) Recombinant Secondary Antibody(品番:RGAM001、希釈倍率1:20000)を使用した。
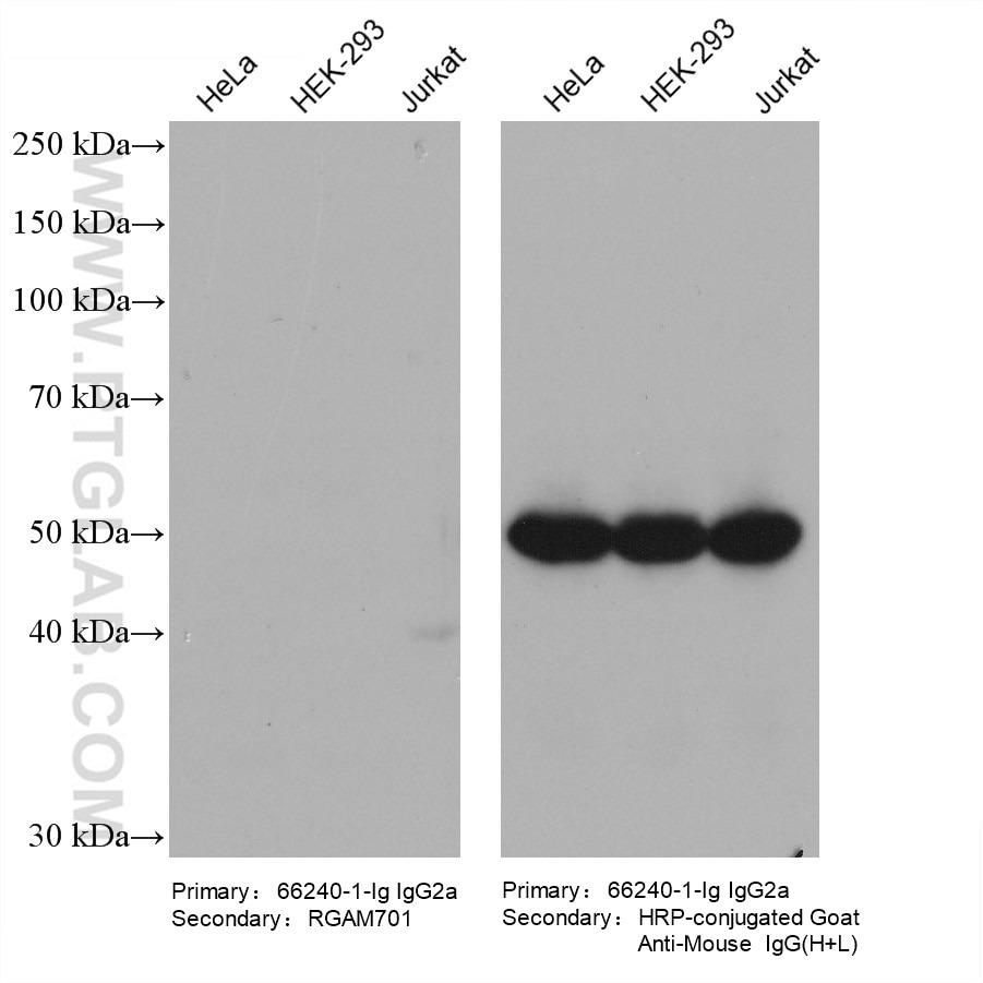
図. 様々なライセートをSDS-PAGE に供した後、Beta-Tubulin マウスモノクローナル抗体(品番:66240-1-Ig、アイソタイプ:IgG2a)を用いてウェスタンブロットを行った。検出には、HRP-Goat Anti-Mouse IgM-Specific Recombinant Secondary Antibody(品番:RGAM701、希釈倍率1:20000)とMulti-rAb HRP-Goat Anti-Mouse IgG (H+L) Recombinant Secondary Antibody(品番:RGAM001、希釈倍率1:20000)を使用した。その結果、IgM-Specific二次抗体(品番:RGAM701)はマウスIgG2aと反応しないことが示された。
• 直接ELISAによる特異性検証データ
図. 異なるアイソタイプのマウスモノクローナル抗体をコーティング後、HRP-Goat Anti-Mouse IgM-Specific Recombinant Secondary Antibody(品番:RGAM701)を用いてシグナルを検出することにより直接ELISAを行った。その結果、二次抗体はマウスIgMと強く結合し、マウスIgGやマウスIgAとは反応しないことが示された。
Goat Anti-Mouse IgM-Specific 組換え抗体(HRP標識)
■ HRP標識ヤギ由来抗マウスIgM特異的二次抗体(リコンビナントモノクローナル抗体)(国内在庫あり※)
※ 国内在庫[あり/なし]の最新状況は、↑ 品名 クリック先ページ 当社在庫 の表示をご確認ください。タイミングによって[入荷予定あり/当社在庫なし]の場合があります。
[関連]10分間ラベリング!FlexAble(フレクサブル)抗体標識キット
[関連]IHC発色キット(マウス抗体用、ウサギ/マウス抗体用)
[関連]優れた浸透性と解像度Nano-Secondary®(ナノセカンダリー)
[関連]豊富な標識/動物種!従来型の二次抗体
[関連]Multi-rAb(マルチ・ラブ)二次抗体
◆◇【発売記念】Blotting Accelerator 40%OFFキャンペーン ◇◆
◆◇【無料サンプル受付中!】Nano-Trap(ナノトラップ)免疫沈降試薬 ◇◆
◆◇【FlexAble 2.0(フレクサブル・ツー)が新登場】10分間でラベリングできる抗体標識キット ◇◆
◆◇【はじめてでも安心!】IHCeasy免疫組織化学染色キット ◇◆
◆◇【¥80,000/96well 】検証済みサンドイッチ法ELISAキット ◇◆
◆◇ cGMPグレードも選べる!ヒト細胞由来のサイトカイン・増殖因子 ◇◆
[シームレスな移行を実現!2つのグレードから選べます]
商品は「研究用試薬」です。人や動物の医療用・臨床診断用・食品用としては使用しないように、十分ご注意ください。
- 「Goat Anti-Mouse IgM-Specific 組換え抗体(HRP標識)」は、下記のカテゴリーに属しています。
-