IP-WBに最適!重鎖・軽鎖を検出しない立体構造特異的二次抗体 Goat Anti-Rabbit IgG Conformation Specific 組換え抗体(HRP標識)
■ 立体構造特異的二次抗体とは?
• ネイティブIgG構造のみを認識する特異的クローン
本製品(品番:RGAR301)は、ウサギIgGのネイティブ(立体)構造を特異的に認識する組換えモノクローナル二次抗体です。
本製品は、ヤギ組換え二次抗体シリーズ『Multi-rAb®(マルチ・ラブ)シリーズ』の開発過程で得られた多数のクローンの中から、IgGの立体構造を特異的に認識するクローン( = 変性したIgG重鎖(約50 kDa)および軽鎖(約25 kDa)を検出しないクローン)を同定し、単独で製品化したものです。Multi-rAb®シリーズは、モノクローナル抗体の「優れた特異性」と、ポリクローナル抗体のような「高い検出感度」を実現する "カクテルタイプ" の組換え二次抗体ですが、本製品はそのスクリーニング過程で見出された構造特異的な "単一クローンのみ" を採用しています。
■ よくあるIP-WBのお困りごとは?
IgG抗体はY字型構造を有し、2本の重鎖(50 kDa)と2本の軽鎖(25 kDa)から構成されています。
還元条件下でウェスタンブロット(WB)を行うと、IgGは重鎖と軽鎖に解離します。そのため、免疫沈降(IP)とWBで同一の一次抗体を使用した場合、IPに用いたIgG由来の重鎖(50 kDa)および軽鎖(25 kDa)が二次抗体によって検出されてしまうことがあります。特に25 kDaおよび50 kDa付近に目的タンパク質が存在する場合、IgG由来バンドが重なり、正確な解析を妨げる要因となります。

図1. IP-WBにおける軽鎖・重鎖検出の模式図
■ その課題は「二次抗体を変えるだけ」で解決できます
プロテインテックの立体構造特異的二次抗体(品番:RGAR301)は、IgGの立体構造を認識し、還元条件により解離した重鎖(約50 kDa)および軽鎖(約25 kDa)を検出しません。そのため「二次抗体を変えるだけ」で、既存のIPおよびWBプロトコールを大きく変更することなく、IgG由来バンドの干渉を回避できます。25 kDaまたは50 kDa付近のタンパク質解析においても、より明瞭で解釈しやすい検出結果が得られます。

図2. ウサギIgG立体構造特異的二次抗体(品番:RGAR301)を用いたIP後のWB検出例
■ Goat Anti-Rabbit IgG Conformation Specific 二次抗体
| 商品名 | Goat Anti-Rabbit IgG Conformation Specific 組換え二次抗体, HRP標識 (HRP-Goat Anti-Rabbit IgG Conformation Specific Recombinant Secondary Antibody) (ヤギ由来抗ウサギIgG構造特異的二次抗体) |
| 品番 | RGAR301  |
| 検出ターゲット | ウサギIgGネイティブ構造(Rabbit IgG Conformation Specific) |
| 宿主動物/免疫動物 | ヤギ(Goat)由来(リコンビナントモノクローナル抗体) |
| 特異性(交差性/非交差性) | [交差動物種・交差アイソタイプ(specificity, cross-reactivity)]ウサギIgG (H+L) [非交差動物種・非交差アイソタイプ(minimal cross-reactivity)]ウサギIgG軽鎖単体、ウサギIgG重鎖単体 |
| 容量 | 100 µL/500 µL/1 mL |
| フォーマット | 液体(Liquid) |
| アプリケーション | IP-WB(免疫沈降-ウェスタンブロット)、WB(ウェスタンブロット)、ELISA |
| 標識 | HRP 標識済み |
| 精製 | アフィニティ精製 (The antibody was purified from culture media supernatant by immunoaffinity chromatography using Protein G beads.) |
| 保存剤 | 0.1% Proclin-300 |
| 保存バッファー | PBS with 50% glycerol, 10 mg/mL BSA, 0.1% Proclin-300, pH 7.4. |
| 保存方法 | - 凍結防止剤として、バッファー中に50%グリセロールを含みます。
- 分注は行わず、元のバイアルの状態で【-20 ℃】で保管してください。
そのほか、よくあるご質問はこちら 
|
- ウサギIgGの立体構造特異的なクローンを採用しています。
- 完全なIgG構造を選択的に認識し、軽鎖・重鎖単体を検出しない「優れた特異性」を示します。
- 安定的な供給能、高いロット間一貫性、再現性を備えるため、長期的プロジェクトにも最適です。
- 高い希釈倍率(1:2500〜)で使用可能なため、実使用ベースでも効率的にご活用いただけます。
- IP-WB、WB、ELISA等の各種アプリケーションで検証されています。
- 液体フォーマット/グリセロールバッファー入り(-20 ℃の冷凍庫で凍らず便利!)で提供されます。
■ Goat Anti-Rabbit IgG Conformation Specific 組換え抗体(HRP標識)(品番:RGAR301)
• 還元条件下におけるRabbit IgG(重鎖・軽鎖)の検出

図3. 通常二次抗体(品番:RGAR001、左)と立体構造特異的二次抗体(品番:RGAR301、右)を用いたRabbit IgG(重鎖・軽鎖)検出結果の比較
ウサギ組換え抗体(品番:84975-1-RRおよび84871-1-RR)ならびにウサギポリクローナル抗体(品番:15240-1-APおよび15675-1-AP)を、還元条件下において100 ng/laneでSDS-PAGEに供し、その後、Multi-rAb® HRP標識ヤギ抗ウサギ組換え二次抗体(H+L)(品番:RGAR001、濃度:0.05 μg/mL)およびHRP標識ヤギ抗ウサギIgG立体構造特異的組換え二次抗体(品番:RGAR301、濃度:0.1 μg/mL)を用いてウェスタンブロット解析を実施した。その結果、立体構造特異的組換え二次抗体(品番:RGAR301)は還元されたウサギIgGフラグメントと反応しないことが示された。
• 免疫沈降後のウェスタンブロット(IP-WB)検証データ

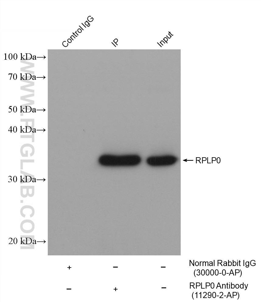
図4. IP-WBにおけるRPLP0タンパク質の検出(品番:11290-2-AP(一次抗体)、品番:RGAR301(立体構造特異的二次抗体))
HeLa細胞ライセートを用い、RPLP0抗体(品番:11290-2-AP)により免疫沈降(IP)を実施した。IP用抗体コントロールにはRabbit IgG(品番:30000-1-AP)を使用した。SDS-PAGEにはIP溶出液の20%およびインプットとして総タンパク質30 µgをロードした。ウェスタンブロット解析では、一次抗体としてRPLP0抗体(品番:11290-2-AP、希釈倍率:1:8000)、二次抗体としてHRP標識ヤギ抗ウサギIgG立体構造特異的組換え二次抗体(品番:RGAR301、希釈倍率:1:2500)を使用した。

図5. IP-WBにおけるSynaptophysinタンパク質の検出(品番:17785-1-AP(一次抗体)、品番:RGAR301(立体構造特異的二次抗体))
マウス脳組織ライセートを用い、Synaptophysin抗体(品番:17785-1-AP)により免疫沈降を行った。IP用抗体コントロールにはRabbit IgG(品番:30000-1-AP)を使用した。SDS-PAGEにはIP溶出液の20%およびインプットとして総タンパク質30 µgをロードした。ウェスタンブロット解析では、一次抗体としてSynaptophysin抗体(品番:17785-1-AP、希釈倍率:1:50000)、二次抗体としてHRP標識ヤギ抗ウサギIgG立体構造特異的組換え二次抗体(品番:RGAR301、希釈倍率:1:2500)を使用した。
• 直接ELISAによるRabbit IgG検出

図6. プロテインテック社の二次抗体(品番:RGAR001(通常、青)、品番:RGAR301(立体構造特異的、緑))と他社Conformation-specific二次抗体(橙)の比較
Rabbit IgGを50 ng/wellでコーティングし、段階希釈した各種二次抗体を用いて検出を行った。発色はTMB基質により行い、H2SO4で反応を停止した。シグナル強度は450 nmにおける吸光度として測定した。青線はプロテインテック社のMulti-rAb® HRP標識ヤギ抗ウサギ組換え二次抗体(H+L)(品番:RGAR001)、緑線はプロテインテック社のHRP標識ヤギ抗ウサギIgG立体構造特異的組換え二次抗体(品番:RGAR301)、橙線は他社製マウス抗ウサギIgG立体構造特異的二次抗体によるシグナル強度を示している。
Goat Anti-Rabbit IgG Conformation Specific 組換え抗体(HRP標識)
■ HRP標識ヤギ由来抗ウサギIgG構造特異的二次抗体(リコンビナントモノクローナル抗体)
| 品名 |
メーカー |
品番 |
包装 |
希望販売価格 |
Anti IgG Conformation Specific, Multi-rAb, Recombinant Secondary Antibody, Rabbit (Goat) Horseradish Peroxidase   |
PGI |
RGAR301 |
100 UL |
¥21,000 |
Anti IgG Conformation Specific, Multi-rAb, Recombinant Secondary Antibody, Rabbit (Goat) Horseradish Peroxidase   |
PGI |
RGAR301 |
500 UL |
¥70,000 |
Anti IgG Conformation Specific, Multi-rAb, Recombinant Secondary Antibody, Rabbit (Goat) Horseradish Peroxidase   |
PGI |
RGAR301 |
1 ML |
¥116,000 |
※ 国内在庫[あり/なし]の最新状況は、↑ 品名 クリック先ページ 当社在庫 の表示をご確認ください。タイミングによって[入荷予定あり/当社在庫なし]の場合があります。
[関連]10分間ラベリング!FlexAble(フレクサブル)抗体標識キット
[関連]IHC発色キット(マウス抗体用、ウサギ/マウス抗体用)
[関連]優れた浸透性と解像度Nano-Secondary®(ナノセカンダリー)
[関連]豊富な標識/動物種!従来型の二次抗体
[関連]Multi-rAb®(マルチ・ラブ)二次抗体
◆◇【日頃のご愛顧に感謝をお届け】春の特典キャンペーン2026 ◇◆
◆◇【無料サンプル受付中!】Nano-Trap(ナノトラップ)免疫沈降試薬 ◇◆
◆◇【FlexAble 2.0(フレクサブル・ツー)が新登場】10分間でラベリングできる抗体標識キット ◇◆
◆◇【はじめてでも安心!】IHCeasy免疫組織化学染色キット ◇◆
◆◇【¥80,000/96well 】検証済みサンドイッチ法ELISAキット ◇◆
◆◇ cGMPグレードも選べる!ヒト細胞由来のサイトカイン・増殖因子 ◇◆
[シームレスな移行を実現!2つのグレードから選べます]
商品は「研究用試薬」です。人や動物の医療用・臨床診断用・食品用としては使用しないように、十分ご注意ください。
※ 表示価格について
※ CAS Registry Numbers have not been verified by CAS and may be inaccurate.
- 「Goat Anti-Rabbit IgG Conformation Specific 組換え抗体(HRP標識)」は、下記のカテゴリーに属しています。
-