Blotting Accelerator(ブロッティング・アクセラレーター)を用いて抗体を希釈するだけで、ウェスタンブロット(WB)におけるメンブレン転写後のブロッキングから抗体反応までの通常約4時間かかる工程を40分以下に短縮させます。
抗体希釈液を変えて、ウェスタンブロットを時短。
Blotting Accelerator(ブロッティング・アクセラレーター)
背景
■Blotting Accelerator(ブロッティング・アクセラレーター)とは
ブロッキング機能と抗原抗体反応促進機能を兼ね備えた、独自組成の抗体希釈バッファーです。 ウェスタンブロット(WB)実験において、抗体反応および洗浄時間を大幅に短縮します。 一次抗体・二次抗体の希釈液としてそのまま使用でき、従来法と同等のシグナルを維持します。
| 従来のWB | Blotting Accelerator使用時 | ||
|---|---|---|---|
| ブロッキング | 室温60分/4℃一晩 | → | 原則不要 |
| 一次抗体反応時間 | 室温60分/4℃一晩 | → | 室温10〜25分 |
| 二次抗体反応時間 | 室温60分/4℃一晩 | → | 室温8〜15分 |
| 洗浄時間※ | 30分(10分×3回) | → | 3分(1分×3回) |
| 合計 | 4時間 | → | 抗体反応40分+洗浄6分 |
※各抗体反応後に実施
■ Proteintech Group(プロテインテック)とは?
Proteintech Group, Inc.(プロテインテック)社は、2001年に設立された抗体製造メーカーです。現在までに、米国本社の他、英国、中国、ドイツ、フランス、シンガポール等で支社を展開し、各国で様々なマーカー抗体、タンパク質研究用試薬を供給しています。国内におけるテクニカルサポート等は、2016年より株式会社プロテインテック・ジャパン(www.ptglab.co.jp
)が担当しています。
- 全てオリジナル商品:自社ラボで製造、検証済み(購入後1年間の交換保証付き)
- 数多くの評判:国内・海外における累計152,100報以上の論文使用実績(2026年3月現在)
- 迅速な納期:約22,000品目を当社倉庫に国内在庫!

[日頃のご愛顧に感謝を込めて]春の特典キャンペーン2026

[無料サンプル受付中!]GFP-Trap® アガロースビーズ標識GFP抗体
プロテインテックは「世界で評価されている抗体サプライヤー」
プロテインテックは、引用数ランキング付き抗体検索サイトを運営する英国の「CiteAb
」が主催する「2026 CiteAb Awards」において「Researchers' choice(研究者が選ぶ抗体サプライヤー)
」部門および「ELISA Kit Supplier to Watch(注目のELISA Kitサプライヤー)
」部門に選出されました。優れた品質と製品ラインアップに加え、カスタマーサービスや論文引用実績において評価されています。
以下のリンクから、プロテインテックの主なカテゴリー製品をご覧いただけます。
特長
使用方法
-
1. 電気泳動およびメンブレン転写
従来の方法に従って行ってください。
-
2. ブロッキング(任意)
転写後、メンブレンを反応容器に入れ、洗浄液(TBST または PBST)で 3〜5秒間すすいだ後、洗浄液を除きます。本製品をメンブレンが完全に浸る程度加え、水平シェーカー上で低速振とうしながら、室温または 37℃で約5分間ブロッキングします。
[ブロッキングに関する注記]
- ・ブロッキングの省略:後続の工程で本製品を希釈液として使用する場合、ブロッキングは省略可能です。だたし、後続の工程で他の希釈液を使用する場合や、一次抗体のインキュベーションを25分以上行う場合は、省略せずに5分間のブロッキングを行うことを推奨します。
- ・ブロッキング時間:本製品では5分間で十分な効果を発揮するため、通常、時間を延長しても結果に大きな差はありません。
- ・実験の中断:この工程で実験を一時停止する場合は、4℃でブロッキングを行ってください(30分から24時間まで可能)。
-
3. 一次抗体インキュベーション
- 3-1.
あらかじめ本製品で一次抗体を希釈しておきます。ブロッキングを行った場合はブロッキング液を除き、メンブレンが完全に浸る程度の一次抗体希釈液を加えます。
※注記:ブロッキング終了後は洗浄せずに直接、一次抗体希釈液を加えることができます。もし洗浄を行う場合は、通常の洗浄液で手短に1回のみ行ってください。 - 3-2.
反応容器を水平シェーカーに載せ、一次抗体希釈液を素早く振とう後、室温または37℃で10〜25分間、低速振とうでインキュベートします。親和性の高い一部の抗体では、インキュベート時間を5分未満に短縮することも可能です。 - 3-3.
一次抗体インキュベーションの終了後、反応容器を水平シェーカーに載せ、適量の洗浄液(PBSTまたはTBST)を加えて素早く2回洗浄します(各3〜5秒間)。その後、洗浄液で3回洗浄します(各1分間)。
- 3-1.
-
4. 二次抗体インキュベーション
(一次抗体がHRP標識一次抗体の場合はこの工程は不要です。工程5に進んでください)- 4-1.
あらかじめ本製品で二次抗体を希釈しておきます。一次抗体希釈液の洗浄後、メンブレンが完全に浸る程度の二次抗体希釈液を加えます。 - 4-2.
反応容器を水平シェーカーに載せ、最初は高速で振とうし、その後室温または37℃で8〜15分間、低速で振とうしながら二次抗体をインキュベートします。 - 4-3.
二次抗体インキュベーションの終了後、反応容器を水平シェーカーに載せ、適量の洗浄液(PBSTまたはTBST)を加えて素早く2回洗浄します(各3〜5秒間)。その後、洗浄液でさらに3回洗浄します(各1分間)。
- 4-1.
-
5. 検出
洗浄後、基質を加えて化学発光イメージング装置での検出、または暗室での撮影を行うことができます。
■ 「データシート」はこちらから閲覧できます
使用例
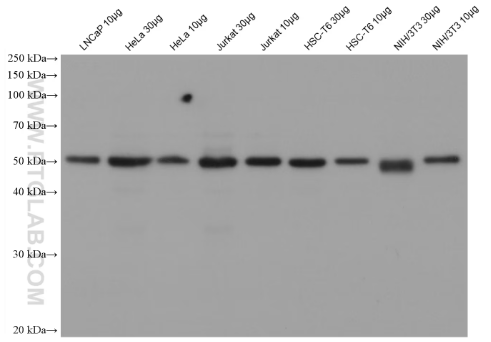
■ Blotting Accelerator(ブロッティング・アクセラレーター)を用いたWB検証
■ Blotting Acceleratorと従来法のシグナル比較
・短時間反応(抗体反応:計25分)でも十分なシグナル。
・ブロッキング省略&短時間反応(抗体反応:計23分)でも非特異的反応を抑制・クリアな結果。
よくある質問
【01】使用する一次抗体・二次抗体に指定はありますか?
指定はございません。メーカーを問わず、一般的な抗体で本製品の促進効果が得られることを確認済みです。ただし、本製品はBSAを含んでいるため、抗BSA一次抗体の希釈にはご使用いただけません。
【02】ウェスタンブロットの全工程で本製品を使用する必要がありますか?
いいえ、特定の反応工程(例:一次抗体反応のみ)に本製品を適用し、その他の工程は従来のバッファーで行うことも可能です。
【03】実験を停止できるポイントはありますか?
以下の3つのポイントで停止が可能です。
- ブロッキング時:メンブレンを洗浄液または本製品に浸し、4℃で保管(30分〜24時間)。
- 一次抗体反応後:洗浄液に浸し、室温で静置(30分〜4時間)。
- 二次抗体反応後:洗浄液に浸し、室温で静置(30分〜4時間)。
※再開時は、プロトコルに従って温度の平衡化や洗浄を行ってください。
【04】希釈した抗体は、どのくらいの期間保存できますか?
4℃保存で約3ヶ月間、安定してご使用いただけます。
※抗体の種類やメーカーにより安定性が異なる場合があります。長期間保存した抗体を使用する際は、事前に反応性をご確認ください。
【05】使用済みの一次抗体を再利用することはできますか?
いかなる場合においても抗体の再利用は推奨しておりません。
基本的には毎回フレッシュな状態で調製してご使用ください。ただし、お客様ご自身が過去の実験において、回収抗体での良好な結果を確認されている場合は、同様の方法で再利用いただくことも可能です。その際は2〜8℃で保存してください。
【06】組成(成分)を開示してもらうことはできますか?
申し訳ございませんが、詳細な組成については非公開とさせていただいております。独自の有機化合物と、バックグラウンド低減のための広範な分子量範囲を持つ不活性タンパク質を含有しています。
Blotting Accelerator(ブロッティング・アクセラレーター)
| 品名 | メーカー | 品番 | 包装 | 希望販売価格 |
|---|---|---|---|---|
Blotting Accelerator![]() |
PGI | PR20039 | 100 ML |
¥6,600(キャンペーン中) ¥11,000(通常希望販売価格) |
Blotting Accelerator![]() |
PGI | PR20039 | 500 ML |
¥18,600(キャンペーン中) ¥31,000(通常希望販売価格) |
◆◇【WBを加速する抗体反応バッファーが新登場】発売記念!Blotting Accelerator 40%OFFキャンペーン ◇◆
◆◇【日頃のご愛顧に感謝を込めて】春の特典キャンペーン2026 ◇◆
◆◇【無料サンプル受付中!】Nano-Trap(ナノトラップ)免疫沈降試薬 ◇◆
◆◇【大好評!FlexAble 2.0(フレクサブル・ツー)】10分間でラベリングできる抗体標識キット ◇◆
◆◇【はじめてでも安心!】IHCeasy免疫組織化学染色キット ◇◆
◆◇【¥80,000/96well 】検証済みサンドイッチ法ELISAキット ◇◆
◆◇ cGMPグレードも選べる!ヒト細胞由来のサイトカイン・増殖因子 ◇◆
商品は「研究用試薬」です。人や動物の医療用・臨床診断用・食品用としては使用しないように、十分ご注意ください。
※ 表示価格について
※ CAS Registry Numbers have not been verified by CAS and may be inaccurate.
- 「Blotting Accelerator(ブロッティング・アクセラレーター)」は、下記のカテゴリーに属しています。






















このページを印刷する
















