RhoGDI 抗体(anti RhoGDI antibody)は、RhoGDI タンパク質を検出するウサギポリクローナル抗体です。
[無料サンプル受付中!]GFP-Trap 免疫沈降用アガロースビーズ標識GFP抗体 
    [注目製品のご案内]『MultiPro™(マルチプロ)』Single Cell 解析用オリゴヌクレオチド標識抗体
RhoGDI 抗体(anti RhoGDI antibody)は、RhoGDI タンパク質を検出するウサギポリクローナル抗体です。
[無料サンプル受付中!]GFP-Trap 免疫沈降用アガロースビーズ標識GFP抗体 
    [注目製品のご案内]『MultiPro™(マルチプロ)』Single Cell 解析用オリゴヌクレオチド標識抗体
Proteintech Group, Inc.(プロテインテック)社は、2001年に設立された抗体製造メーカーです。現在までに、米国本社の他、英国、中国、ドイツ、フランス、シンガポール等で支社を展開し、各国で様々なマーカー抗体、タンパク質研究用試薬を供給しています。国内におけるテクニカルサポート等は、2016年より株式会社プロテインテック・ジャパン(www.ptglab.co.jp  )が担当しています。
)が担当しています。
プロテインテックは、引用数ランキング付き抗体検索サイトを運営する英国の「CiteAb  」が主催する「2025 CiteAb Awards」において「Researchers' choice(研究者の選択)
」が主催する「2025 CiteAb Awards」において「Researchers' choice(研究者の選択) 」部門および「Educational Resource of the Year(今年の教育リソース)
」部門および「Educational Resource of the Year(今年の教育リソース) 」部門の受賞者として選出されました。優れた品質と製品ラインアップに加え、カスタマーサービスや教育コンテンツが高く評価されています。
」部門の受賞者として選出されました。優れた品質と製品ラインアップに加え、カスタマーサービスや教育コンテンツが高く評価されています。
以下のリンクから、プロテインテックの主なカテゴリー製品をご覧いただけます。
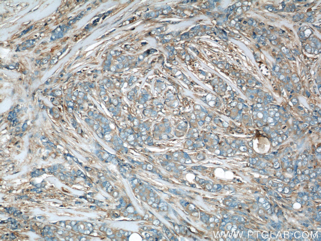
| 商品名 | RhoGDI 抗体(Anti RhoGDI antibody) | 
|---|---|
| 品番 | 10509-1-Ig  | 
| タイプ | ウサギポリクローナル | 
| 交差種 | ヒト、マウス、ラット | 
| アプリケーション | WB(ウェスタンブロット)、IHC(免疫組織化学)、ELISA | 
| 標識 | 非標識 | 
| 別名 | aGDI, ARHGDIA, GDIA1, Rho GDI 1, Rho GDI alpha, RHOGDI, RHOGDI 1 | 
| GeneID (遺伝子データベース情報) | 396  | 
| 抗原 | ヒト RhoGDI/ARHGDIA/aGDI 組換えタンパク質(品番:Ag0791  ) | 
| アイソタイプ | IgG | 
| バッファー | PBS with 0.1% sodium azide and 50% glycerol pH 7.3. | 
| 精製方法 | Protein A purification | 
| KD/KO 検証 | KDまたはKOサンプルによる特異性検証済み | 
| 保存方法 | 
 | 


■ ポリクローナル抗体(20 UL包装の トライアルサイズ  あります。150 UL包装は国内在庫あり※)
 あります。150 UL包装は国内在庫あり※)
| 品名 | メーカー | 品番 | 包装 | 希望販売価格 | 
|---|---|---|---|---|
| Anti RhoGDI, Trial Size: 20 UL, Human (Rabbit) Unlabeled  | PGI | 10509-1-IG | 20 UL | ¥23,000 | 
| Anti RhoGDI, Human (Rabbit) Unlabeled  | PGI | 10509-1-IG | 150 UL | ¥67,000 | 
※ 国内在庫[あり/なし]の最新状況は、↑ 品名 クリック先ページ 当社在庫 の表示をご確認ください。タイミングによって[入荷予定あり/当社在庫なし]の場合があります。
■ モノクローナル抗体(20 UL包装の トライアルサイズ  あります。150 UL包装は国内在庫あり※)
 あります。150 UL包装は国内在庫あり※)
| 品名 | メーカー | 品番 | 包装 | 希望販売価格 | 
|---|---|---|---|---|
| Anti RhoGDI, Trial Size: 20 UL, Human (Mouse) Unlabeled, 1B1G9  | PGI | 66480-1-IG | 20 UL | ¥23,000 | 
| Anti RhoGDI, Human (Mouse) Unlabeled, 1B1G9  | PGI | 66480-1-IG | 150 UL | ¥67,000 | 
※ 国内在庫[あり/なし]の最新状況は、↑ 品名 クリック先ページ 当社在庫 の表示をご確認ください。タイミングによって[入荷予定あり/当社在庫なし]の場合があります。
商品は「研究用試薬」です。人や動物の医療用・臨床診断用・食品用としては使用しないように、十分ご注意ください。
※ 表示価格について
© COSMO BIO