SIRT3 抗体(anti SIRT3 antibody)は、SIRT3 タンパク質を検出するウサギポリクローナル抗体です。
[記入してもっとお得に!キャンペーン申込書]2点購入20%オフ専用申込書
または5点購入30%オフ専用申込書

[無料サンプル受付中!]GFP-Trap® 免疫沈降用アガロースビーズ標識GFP抗体 ![]()
[注目製品のご案内]シングルセル解析用オリゴヌクレオチド標識抗体『MultiPro™(マルチプロ)』
SIRT3 抗体(anti SIRT3 antibody)は、SIRT3 タンパク質を検出するウサギポリクローナル抗体です。
[記入してもっとお得に!キャンペーン申込書]2点購入20%オフ専用申込書
または5点購入30%オフ専用申込書

[無料サンプル受付中!]GFP-Trap® 免疫沈降用アガロースビーズ標識GFP抗体 ![]()
[注目製品のご案内]シングルセル解析用オリゴヌクレオチド標識抗体『MultiPro™(マルチプロ)』
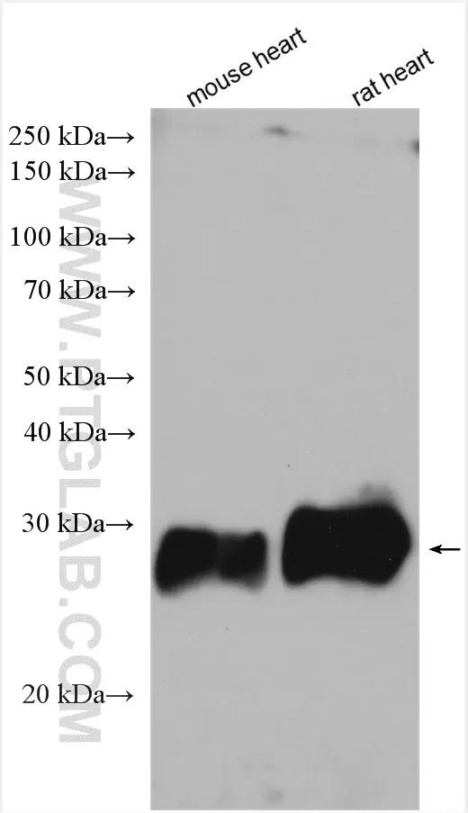
サーチュイン(Sirtuin)は、NAD+依存性ヒストン/タンパク質脱アセチル化酵素(HDAC)であり、SIRT3(sirtuin-3)は、その発現増加がヒトの寿命延長と相関することが示されている唯一のサーチュインタンパク質です[PMID: 18710944
、15676284
、14580859
]。SIRT3は、ミトコンドリアマトリックスに局在し、そこでアセチル補酵素A合成酵素2(acetyl coenzyme A synthetase 2)を含む代謝酵素のアセチル化レベルを調節します[PMID: 20203611
]。SIRT3は、ストレス応答性であり、その発現増加によって、遺伝毒性および酸化ストレスが媒介する細胞死から筋細胞を保護します[PMID: 18710944
]。完全長hSIRT3(44kDa)は、不活性タンパク質であり、N末端セグメントの142アミノ酸の欠失に続いて、ミトコンドリア内部で活性化されます[PMID: 18710944
]。このプロセシングされた形態のSIRT3は、約28kDaであり、脱アセチル化酵素活性を有します[PMID: 12186850
]。完全なSIRT3は、44kDaのタンパク質であり、ミトコンドリアプロセシングペプチダーゼ(MPP)によってプロセシングされて、28kDaの産物を生じます。
Proteintech Group, Inc.(プロテインテック)社は、2001年に設立された抗体製造メーカーです。現在までに、米国本社の他、英国、中国、ドイツ、フランス、シンガポール等で支社を展開し、各国で様々なマーカー抗体、タンパク質研究用試薬を供給しています。国内におけるテクニカルサポート等は、2016年より株式会社プロテインテック・ジャパン(www.ptglab.co.jp
)が担当しています。
プロテインテックは、引用数ランキング付き抗体検索サイトを運営する英国の「CiteAb
」が主催する「2025 CiteAb Awards」において「Researchers' choice(研究者の選択)
」部門および「Educational Resource of the Year(今年の教育リソース)
」部門の受賞者として選出されました。優れた品質と製品ラインアップに加え、カスタマーサービスや教育コンテンツが高く評価されています。
以下のリンクから、プロテインテックの主なカテゴリー製品をご覧いただけます。
| 商品名 | SIRT3 抗体(Anti SIRT3 antibody) |
|---|---|
| 品番 | 10099-1-AP |
| タイプ | ウサギポリクローナル |
| 交差種 | ヒト、マウス、ラット、ヤギ、ウシ、ブタ |
| アプリケーション | WB(ウェスタンブロット)、IP(免疫沈降)、CoIP(共免疫沈降)、ELISA |
| 標識 | 非標識 |
| 別名 | hSIRT3, SIR2 like protein 3, SIR2L3, SIRT3 |
| GeneID (遺伝子データベース情報) | 23410 |
| 抗原 | ヒト SIRT3 組換えタンパク質(品番:Ag0148 |
| アイソタイプ | IgG |
| バッファー | PBS with 0.1% sodium azide and 50% glycerol pH 7.3. |
| 精製方法 | Antigen affinity purification |
| KD/KO 検証 | KDまたはKOサンプルによる特異性検証済み |
| 保存方法 |
|


■ ポリクローナル抗体(20 UL包装の トライアルサイズ
あります。150 UL包装は国内在庫あり※)
| 品名 | メーカー | 品番 | 包装 | 希望販売価格 |
|---|---|---|---|---|
Anti SIRT3, Trial Size: 20 UL, Human (Rabbit) Unlabeled![]() |
PGI | 10099-1-AP | 20 UL |
¥19,550(キャンペーン中) ¥23,000(通常希望販売価格) |
Anti SIRT3, Human (Rabbit) Unlabeled![]() |
PGI | 10099-1-AP | 150 UL |
¥67,000 |
※ 国内在庫[あり/なし]の最新状況は、↑ 品名 クリック先ページ 当社在庫 の表示をご確認ください。タイミングによって[入荷予定あり/当社在庫なし]の場合があります。
■ ポリクローナル抗体(20 UL包装の トライアルサイズ
あります。150 UL包装は国内在庫あり※)
| 品名 | メーカー | 品番 | 包装 | 希望販売価格 |
|---|---|---|---|---|
Anti SIRT3, Trial Size: 20 UL, Human (Rabbit) Unlabeled![]() |
PGI | 29838-1-AP | 20 UL |
¥19,550(キャンペーン中) ¥23,000(通常希望販売価格) |
Anti SIRT3, Human (Rabbit) Unlabeled![]() |
PGI | 29838-1-AP | 150 UL |
¥67,000 |
※ 国内在庫[あり/なし]の最新状況は、↑ 品名 クリック先ページ 当社在庫 の表示をご確認ください。タイミングによって[入荷予定あり/当社在庫なし]の場合があります。
■ リコンビナントウサギモノクローナル抗体(20 UL包装の トライアルサイズ
あります。100 UL包装は国内在庫あり※)
| 品名 | メーカー | 品番 | 包装 | 希望販売価格 |
|---|---|---|---|---|
Anti SIRT3, Recombinant Antibody, Trial Size: 20 UL, Human (Rabbit Mono) Unlabeled, 2P6![]() |
PGI | 82210-1-RR | 20 UL |
¥24,650(キャンペーン中) ¥29,000(通常希望販売価格) |
Anti SIRT3, Recombinant Antibody, Human (Rabbit Mono) Unlabeled, 2P6![]() |
PGI | 82210-1-RR | 100 UL |
¥85,000 |
※ 国内在庫[あり/なし]の最新状況は、↑ 品名 クリック先ページ 当社在庫 の表示をご確認ください。タイミングによって[入荷予定あり/当社在庫なし]の場合があります。





商品は「研究用試薬」です。人や動物の医療用・臨床診断用・食品用としては使用しないように、十分ご注意ください。
※ 表示価格について
© COSMO BIO