MMP3 抗体(anti MMP3 antibody)は、MMP3 タンパク質を検出するウサギポリクローナル抗体です。
[記入してもっとお得に!キャンペーン申込書]2点購入20%オフ専用申込書
または5点購入30%オフ専用申込書

[無料サンプル受付中!]GFP-Trap® 免疫沈降用アガロースビーズ標識GFP抗体 ![]()
[注目製品のご案内]シングルセル解析用オリゴヌクレオチド標識抗体『MultiPro™(マルチプロ)』
MMP3 抗体(anti MMP3 antibody)は、MMP3 タンパク質を検出するウサギポリクローナル抗体です。
[記入してもっとお得に!キャンペーン申込書]2点購入20%オフ専用申込書
または5点購入30%オフ専用申込書

[無料サンプル受付中!]GFP-Trap® 免疫沈降用アガロースビーズ標識GFP抗体 ![]()
[注目製品のご案内]シングルセル解析用オリゴヌクレオチド標識抗体『MultiPro™(マルチプロ)』
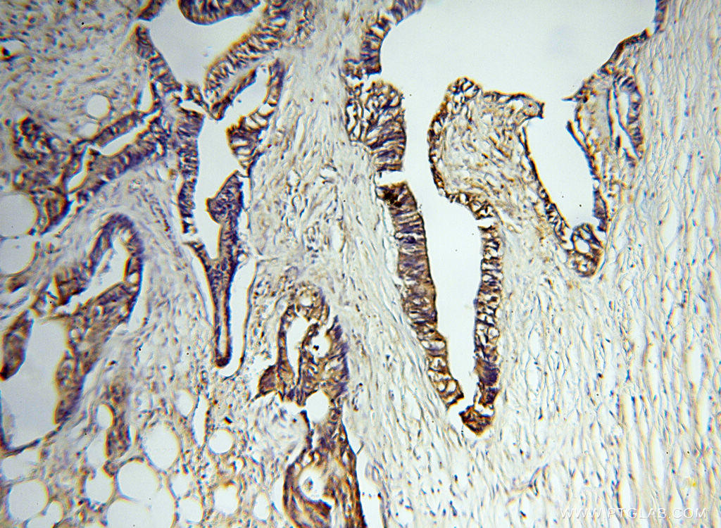
マトリックスメタロプロテイナーゼ(MMP:Matrix metalloproteinase)は、細胞外マトリクスのリモデリングにおいて極めて重要な役割を果たし、多くの正常または病理学的なプロセスに関与します。MMPプロテアーゼは、ヒト癌における重要な治療および診断ターゲットとして研究されています。MMP-3は、次の2つの経路を介してプロコラゲナーゼを活性化します。一つは、比較的遅い活性化経路である直接活性化と、もう一方は、組織または血漿プロテイナーゼと連動した迅速な活性化を行う経路です。前駆型であるpro-MMP3(60kDa)と活性型MMP3(47kDa)は、ウェスタンブロットによって検出することが可能です。
Proteintech Group, Inc.(プロテインテック)社は、2001年に設立された抗体製造メーカーです。現在までに、米国本社の他、英国、中国、ドイツ、フランス、シンガポール等で支社を展開し、各国で様々なマーカー抗体、タンパク質研究用試薬を供給しています。国内におけるテクニカルサポート等は、2016年より株式会社プロテインテック・ジャパン(www.ptglab.co.jp
)が担当しています。
プロテインテックは、引用数ランキング付き抗体検索サイトを運営する英国の「CiteAb
」が主催する「2025 CiteAb Awards」において「Researchers' choice(研究者の選択)
」部門および「Educational Resource of the Year(今年の教育リソース)
」部門の受賞者として選出されました。優れた品質と製品ラインアップに加え、カスタマーサービスや教育コンテンツが高く評価されています。
以下のリンクから、プロテインテックの主なカテゴリー製品をご覧いただけます。
| 商品名 | MMP3 抗体(Anti MMP3 antibody) |
|---|---|
| 品番 | 17873-1-AP |
| タイプ | ウサギポリクローナル |
| 交差種 | ヒト、マウス、ラット、ウシ、ブタ、ウサギ |
| アプリケーション | WB(ウェスタンブロット)、IHC(免疫組織化学)、IF(免疫蛍光染色)、ELISA |
| 標識 | 非標識 |
| 別名 | CHDS6, Matrix metalloproteinase 3, MMP 3, MMP3, SL 1, STMY, STMY1, STR1, Stromelysin 1, Transin 1 |
| GeneID (遺伝子データベース情報) | 4314 |
| 抗原 | ヒト MMP3 組換えタンパク質(品番:Ag12359 |
| アイソタイプ | IgG |
| バッファー | PBS with 0.02% sodium azide and 50% glycerol pH 7.3. |
| 精製方法 | Antigen affinity purification |
| KD/KO 検証 | - |
| 保存方法 |
|


■ ポリクローナル抗体(20 UL包装の トライアルサイズ
あります。150 UL包装は国内在庫あり※)
| 品名 | メーカー | 品番 | 包装 | 希望販売価格 |
|---|---|---|---|---|
Anti MMP3, Trial Size: 20 UL, Human (Rabbit) Unlabeled![]() |
PGI | 17873-1-AP | 20 UL |
¥19,550(キャンペーン中) ¥23,000(通常希望販売価格) |
Anti MMP3, Human (Rabbit) Unlabeled![]() |
PGI | 17873-1-AP | 150 UL |
¥67,000 |
※ 国内在庫[あり/なし]の最新状況は、↑ 品名 クリック先ページ 当社在庫 の表示をご確認ください。タイミングによって[入荷予定あり/当社在庫なし]の場合があります。
■ モノクローナル抗体(20 UL包装の トライアルサイズ
あります。150 UL包装は国内在庫あり※)
| 品名 | メーカー | 品番 | 包装 | 希望販売価格 |
|---|---|---|---|---|
Anti MMP3, Trial Size: 20 UL, Human (Mouse) Unlabeled, 1F5A9![]() |
PGI | 66338-1-IG | 20 UL |
¥19,550(キャンペーン中) ¥23,000(通常希望販売価格) |
Anti MMP3, Human (Mouse) Unlabeled, 1F5A9![]() |
PGI | 66338-1-IG | 150 UL |
¥67,000 |
※ 国内在庫[あり/なし]の最新状況は、↑ 品名 クリック先ページ 当社在庫 の表示をご確認ください。タイミングによって[入荷予定あり/当社在庫なし]の場合があります。
■ リコンビナントウサギモノクローナル抗体(20 UL包装の トライアルサイズ
あります。100 UL包装は国内在庫あり※)
| 品名 | メーカー | 品番 | 包装 | 希望販売価格 |
|---|---|---|---|---|
Anti MMP3, Recombinant Antibody, Trial Size: 20 UL, Human (Rabbit Mono) Unlabeled, 230535G8![]() |
PGI | 82984-4-RR | 20 UL |
¥24,650(キャンペーン中) ¥29,000(通常希望販売価格) |
Anti MMP3, Recombinant Antibody, Human (Rabbit Mono) Unlabeled, 230535G8![]() |
PGI | 82984-4-RR | 100 UL |
¥85,000 |
※ 国内在庫[あり/なし]の最新状況は、↑ 品名 クリック先ページ 当社在庫 の表示をご確認ください。タイミングによって[入荷予定あり/当社在庫なし]の場合があります。
■ 蛍光標識ポリクローナル抗体
| 品名 | メーカー | 品番 | 包装 | 希望販売価格 |
|---|---|---|---|---|
Anti MMP3, Human (Rabbit) CoraLite(R) Plus 488![]() |
PGI | CL488-17873 | 100 UL |
¥83,000 |
■ 蛍光標識モノクローナル抗体
| 品名 | メーカー | 品番 | 包装 | 希望販売価格 |
|---|---|---|---|---|
Anti MMP3, Human (Mouse) CoraLite(R) Plus 488, 1F5A9![]() |
PGI | CL488-66338 | 100 UL |
¥83,000 |
Anti MMP3, Human (Mouse) CoraLite(R) 594, 1F5A9![]() |
PGI | CL594-66338 | 100 UL |
¥83,000 |





商品は「研究用試薬」です。人や動物の医療用・臨床診断用・食品用としては使用しないように、十分ご注意ください。
※ 表示価格について
© COSMO BIO