IL-23A 抗体(anti IL-23A antibody)は、IL-23A タンパク質を検出するマウスモノクローナル抗体です。
[記入してもっとお得に!キャンペーン申込書]2点購入20%オフ専用申込書
または5点購入30%オフ専用申込書

[無料サンプル受付中!]GFP-Trap® 免疫沈降用アガロースビーズ標識GFP抗体 ![]()
[注目製品のご案内]シングルセル解析用オリゴヌクレオチド標識抗体『MultiPro™(マルチプロ)』
IL-23A 抗体(anti IL-23A antibody)は、IL-23A タンパク質を検出するマウスモノクローナル抗体です。
[記入してもっとお得に!キャンペーン申込書]2点購入20%オフ専用申込書
または5点購入30%オフ専用申込書

[無料サンプル受付中!]GFP-Trap® 免疫沈降用アガロースビーズ標識GFP抗体 ![]()
[注目製品のご案内]シングルセル解析用オリゴヌクレオチド標識抗体『MultiPro™(マルチプロ)』
インターロイキン23(IL23:Interleukin-23)は、IL12サイトカインファミリーのメンバーであり、IL12 p40およびIL23 p19の2つのサブユニットから構成されます。IL23は、抗原提示細胞によって産生され、Th17細胞と呼ばれるT細胞系譜細胞の誘導および生存を促進することが示されています。IL23の機能的受容体(IL23受容体)は、IL12Rβ1およびIL23R サブユニットで構成されます。IL-23は、主にマクロファージおよびDC(樹状細胞)で発現します。IL-23Rは、TGF-βおよびIL-6による活性化されると、記憶T細胞、NKT細胞(ナチュラルキラーT細胞)、マクロファージ、樹状細胞、およびナイーブT細胞上で認められます。最初に同定されたIL-23の主要な生物学的作用は、DC(樹状細胞)による抗原提示の刺激、T細胞のTh17細胞への分化、およびインターフェロン-γ(IFN-γ)の産生です。IL-23は、さらに、マクロファージに対して直接作用し、末期のエフェクタ―サイトカインとして機能します[PMID: 16393998
、15657292
、12023369
、12610626
]。
Proteintech Group, Inc.(プロテインテック)社は、2001年に設立された抗体製造メーカーです。現在までに、米国本社の他、英国、中国、ドイツ、フランス、シンガポール等で支社を展開し、各国で様々なマーカー抗体、タンパク質研究用試薬を供給しています。国内におけるテクニカルサポート等は、2016年より株式会社プロテインテック・ジャパン(www.ptglab.co.jp
)が担当しています。
プロテインテックは、引用数ランキング付き抗体検索サイトを運営する英国の「CiteAb
」が主催する「2025 CiteAb Awards」において「Researchers' choice(研究者の選択)
」部門および「Educational Resource of the Year(今年の教育リソース)
」部門の受賞者として選出されました。優れた品質と製品ラインアップに加え、カスタマーサービスや教育コンテンツが高く評価されています。
以下のリンクから、プロテインテックの主なカテゴリー製品をご覧いただけます。
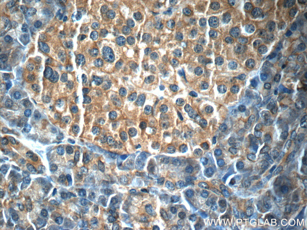
| 商品名 | IL-23A 抗体(Anti IL-23A antibody) |
|---|---|
| 品番 | 66196-1-Ig |
| タイプ | マウスモノクローナル |
| 交差種 | ヒト |
| アプリケーション | WB(ウェスタンブロット)、IHC(免疫組織化学)、IF(免疫蛍光染色)、ELISA |
| 標識 | 非標識 |
| 別名 | IL 23, IL 23 A, IL 23 subunit alpha, IL 23A, IL 23p19, IL23A, IL-23A, IL23P19, Interleukin 23 subunit alpha, Interleukin 23 subunit p19, P19, SGRF |
| GeneID (遺伝子データベース情報) | 51561 |
| 抗原 | ヒト IL-23A 組換えタンパク質(品番:Ag19406 |
| アイソタイプ | IgG1 |
| バッファー | PBS with 0.02% sodium azide and 50% glycerol pH 7.3. |
| 精製方法 | Protein A purification |
| KD/KO 検証 | - |
| 保存方法 |
|


■ モノクローナル抗体(20 UL包装の トライアルサイズ
あります。150 UL包装は国内在庫あり※)
| 品名 | メーカー | 品番 | 包装 | 希望販売価格 |
|---|---|---|---|---|
Anti IL-23 p19, Trial Size: 20 UL, Human (Mouse) Unlabeled, 1D5D3![]() |
PGI | 66196-1-IG | 20 UL |
¥19,550(キャンペーン中) ¥23,000(通常希望販売価格) |
Anti IL-23 p19, Human (Mouse) Unlabeled, 1D5D3![]() |
PGI | 66196-1-IG | 150 UL |
¥67,000 |
※ 国内在庫[あり/なし]の最新状況は、↑ 品名 クリック先ページ 当社在庫 の表示をご確認ください。タイミングによって[入荷予定あり/当社在庫なし]の場合があります。





商品は「研究用試薬」です。人や動物の医療用・臨床診断用・食品用としては使用しないように、十分ご注意ください。
※ 表示価格について
© COSMO BIO