コスモ・バイオ抗体ブランド「CAC(CosmobioAntibodyCollection)」では、これまでにALSの原因タンパク質TDP-43の異常リン酸化検出用抗体をエントリーしていますが、新たに同疾患の関連が示唆される「C9orf72遺伝子のリピート配列翻訳産物」に対する抗体、そして近年論文発表された新規「4R-tau」特異抗体を販売開始(2014年2月〜)しご好評頂いております。
4R-tau 抗体
主に認知症、タウオパチーの研究に

アルツハイマー病(AD)をはじめ、多くの神経変性疾患では微小管結合タンパク質の一種であるタウが線維化する異常病変が認められ、その分布や広がりが、臨床症状、病気の進行度と強く相関します。ヒト脳には6種類のタウ分子が発現し、その繰り返し配列の数により、3Rタウと4Rタウに分類されますが、疾患、病型により線維化するタウの分子種が異なります。たとえばADでは6種類全てのタウが、ピック病では3Rタウが、皮質基底核変性症(CBD)や進行性核上性麻痺(PSP)では4Rタウが線維化するとの報告があります。現在3Rタウ、4Rタウを特異的に認識する抗体が市販され、生化学、組織学解析に用いられていますが、近年4RタウのAsn279が脱アミド化を受けると抗体の反応性に影響がでることが明らかとなりました。
本品はAsn279の脱アミド化に関わらず4Rタウアイソフォームを特異的に認識する抗体として作製され、生化学、組織学的解析に有用であることが報告されました。
詳細情報:4R-tau 抗体
C9orf72 抗体
主に筋萎縮性側索硬化症(ALS)、前頭側頭葉変性症(FTLD)研究に
2011年、家族性前頭側頭葉変性症(frontotemporallobardegeneration,FTLD)または筋萎縮性側索硬化症(amyotrophiclateralsclerosis,ALS)患者家系においてC9orf72遺伝子の非翻訳領域内にGGGGCCからなる hexanucleotide repeats の存在が見出されました。この繰り返し配列は正常では24 個以下であるのに対し、伸長例 では60〜数千個に達しておりFTLD とALS いずれの発症にも関与することが示されています。通常この繰り返し配列は翻訳されませんが、伸長例では開始コドンを用いない翻訳(repeat-associated non-ATG-initiated translation, RANT) によって翻訳され、poly GlyAla(GA)、poly GlyArg(GR)、poly GlyPro(GP) ポリペプチドが産生されることが報告されました。さらに、poly GA, poly GR, poly GP 抗体を用いて伸長例の剖検脳を免疫組織染色した結果、TDP43 陰性・ p62 陽性封入体にジペプチドリピートタンパク質の存在が確認されました。
詳細情報:C9orf72 抗体
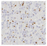
TDP-43 のリン酸化抗体
主に筋萎縮性側索硬化症(ALS)、前頭側頭葉変性症(FTLD)研究に

TDP-43(TAR DNA-binding Protein of 43kDa) は414 アミノ酸からなる核タンパク質の一種で、ユビキチン陽性封入 体を伴う前頭側頭葉変性症(FTLD-U)および筋萎縮性側索硬化症(ALS)等の神経疾患において、変性する神経細胞 やグリア細胞内に蓄積することが報告されています。その後の研究により、患者細胞内に蓄積するTDP-43 はそのC 末端領域の複数の部位(Ser403, Ser404, Ser409, Ser410 など) が異常リン酸化を受けていることが明らかとなりました。正常TDP-43 と病気で出現する異常TDP-43 を区別することができるため、神経病理診断、病態を再現する細胞モデ ルや動物モデルの評価等に広く使われています。リン酸化に関わらずTDP-43 のN 末端、C 末端を認識する抗体(非リン酸化TDP-43 抗体) と合わせて使用されることもお薦めします。
詳細情報:TDP-43 のリン酸化抗体
α-シヌクレイン 抗体
主にパーキンソン病(PD)、レビー小体型認知症(DLB)、多系統萎縮症(MSA)研究に
α-シヌクレインは主としてシナプス前終末で発現される140 アミノ酸からなるタンパク質で、パーキンソン病(PD)やレビー小体型認知症(DLB)、多系統萎縮症(MSA)等の神経変性疾患において、ニューロンまたはグリア由来の介在物中で凝集体として観察されることが知られています。本タンパク質はネイティヴな状態では折りたたみ構造を取っていませんが、疾患の進行に伴って線維化を含む構造変化を起こし、病因の中心的な役割を果たすとされています。α-シヌクレインのN-末端部位は共通配列(KTKEGV)を有する11 残基のアミノ酸配列が不完全に7 回繰り返された構造を取っており、この反復構造は本タンパクの疎水性部位(aa61-95)と部分的に重複します。またC-末端(aa96-140)は負に帯電しています。これらの抗体は、特にIHC において高いパフォーマンスを示すことが報告されています。
詳細情報:α-シヌクレイン抗体